사마귀(wart) 원인, 증상, 치료법 총정리
사마귀는 피부 표면에 생기는 작은 종양으로 사람 유두종 바이러스에 감염되어 발생하는 피부질환입니다. 사람 유두종 바이러스는 100여 종이 넘고, 각 유형마다 특징적인 모양과 크기의 사마귀를 유발합니다.
전 세계적으로 가장 흔한 피부 질환 중 하나로, 어린이와 청소년에게 가장 흔하지만, 성인에게서도 흔하게 발생합니다.
![]() |
![]() |
![]() |
![]() |
1. 사마귀 원인
사마귀는 사람 유두종 바이러스 감염으로 발생합니다. 이 바이러스는 피부와 점막을 통해 전염되고, 감염된 사람과 직접 접촉하거나, 감염된 물건을 만지는 등의 방법으로 전염될 수 있습니다.
1) 일반 사마귀 : 사람 유두종 바이러스 2, 4, 27, 29형이 원인입니다.
2) 평평한 사마귀 : 사람 유두종 바이러스 3, 10, 28, 49형이 원인입니다.
3) 손발바닥 사마귀 : 사람 유두종 바이러스 2, 4, 27, 29 형이 원인입니다.
4) 성기 사마귀 : 사람 유두종 바이러스 6, 11, 16, 18, 31, 33, 34, 35, 39 형이 원인입니다.
2. 증상
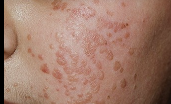
사마귀는 피부 표면에 단단하거나 울퉁불퉁한 작은 돌기나 혹이 나타나고, 바이러스 아형에 따라서 모양과 크기가 다릅니다.
1) 일반 사마귀 : 손, 발바닥, 무릎 등에 주로 발생하고, 회색, 갈색, 검은색으로 나타납니다.
2) 평평한 사마귀 : 얼굴, 손등, 팔 등에 나타나고, 피부와 같은 색깔의 평평한 모양입니다.
3) 손발바닥 사마귀 : 발바닥에 주로 생기고, 굳은살처럼 보이는 단단한 돌기를 형성합니다.
4) 성기 사마귀, 뾰족 콘딜로마 : 성기 부위에 발생하고, 피부색의 혹이나 돌기로 성 접촉 시 전염되는 경우가 흔합니다.
곤지름 인유두종바이러스 감염 성병
곤지름은 인유두종바이러스(HPV)에 감염되어 생기는 성병입니다. 인유두종바이러스는 100여 가지 이상의 유형이 있으며, 그중 일부 유형은 곤지름을 유발하게 됩니다. 곤지름은 생식기에 주로 발
healthrichest.com
3. 진단
육안으로 진단이 가능합니다.
4. 치료
어린아이는 사마귀는 치료를 하지 않아도 자연적으로 사라질 수 있습니다. 일부는 점점 더 병변이 증가할 수 있고, 미용상의 문제뿐 아니라 발바닥에 난 사마귀는 통증을 유발합니다. 따라서 치료를 통해 증상을 완화하거나 제거할 수도 있습니다.
1) 약물치료 : 각질 용해제, 살리실산과 5-플루오로우라실의 혼합물을 바릅니다. 병변이 아주 광범위한 경우 레티노이드를 복용합니다.
2) 전기 소작법 또는 레이저 치료 : 사마귀를 제거하기 위해 사용합니다.
3) 냉동치료 : 사마귀를 얼려서 제거합니다.
"이 포스팅은 쿠팡 파트너스 활동의 일환으로, 이에 따른 일정액의 수수료를 제공받습니다."
4) 면역요법 : 병변이 아주 크거나 여러 부위에 다발성으로 나타날 경우 디페닐사이클로프로페논을 이용하는 면역요법을 사용합니다.
5) 약물 직접 주입 : 난치성 사마귀인 경우 블레오마이신을 병변 네 직접 주입합니다.
현재 사용되는 대부분의 치료법은 완치율이 50~60% 정도이고, 재발률은 20~50% 정도입니다.
사마귀는 긴밀한 접촉으로 감염될 수 있으므로 다른 부위로 옮겨가지 않도록 될 수 있으면 병변에 자극을 주지 않도록 합니다.




