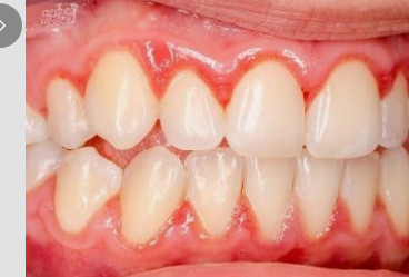
치은염, 잇몸병의 시작, 어떻게 관리해야 할까요?
치은염은 잇몸에 염증이 생기는 질환으로, 초기에는 별다른 증상이 없어 간과하기 쉽지만 방치하면 심각한 구강 질환으로 이어질 수 있습니다. 치아를 둘러싸고 있는 잇몸은 치아를 지지하는 중요한 역할을 하므로, 치은염을 조기에 발견하고 치료하는 것이 중요합니다.

1. 치은염의 원인
치은염의 가장 큰 원인은 구강 위생 관리 부족입니다. 칫솔질을 제대로 하지 않아 치아에 플라크와 치석이 쌓이면 세균이 번식하기 좋은 환경이 조성되고, 이로 인해 잇몸에 염증이 발생합니다.
1) 블라크 : 치아에 달라붙는 무색 투명한 끈끈한 막으로, 세균이 서식하는 곳입니다.
2) 치석 : 플라크가 굳어져 형성된 단단한 물질로, 칫솔질로 제거되지 않습니다.
3) 흡연 : 흡연은 혈액순환을 방해하여 잇몸 조직의 회복을 더디게 합니다.
4) 약물 부작용 : 일부 약물은 구강 건조증을 유발하여 치은염을 악화시킬 수 있습니다.
5) 스트레스 : 스트레스는 면역력을 저하시켜 치은염을 악화시킬 수 있습니다.
6) 질병 : 당뇨병, 혈액 질환 등 만성 질환이 있는 경우 치은염에 더 취약합니다.

2. 증상
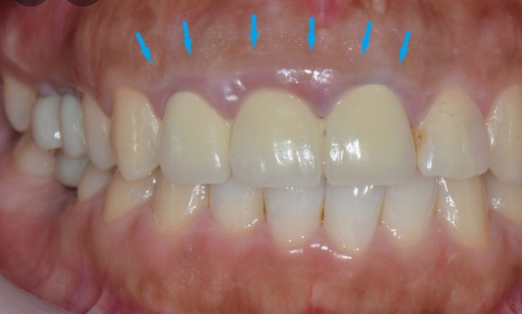
초기 치은염은 별다른 증상이 없건, 잇몸이 약간 붉어지고 붓는 정도의 가벼운 증상만 나타납니다. 하지만 질병이 진행되면 다음과 같은 증상이 나타날 수 있습니다.
1) 잇몸 출혈 : 칫솔질 시 잇몸에서 피가 납니다.
2) 잇몸 부종 : 잇몸이 붓고 붉어집니다.
3) 잇몸 고통 : 잇몸에 고름이 생길 수 있습니다.
4) 입냄새 : 구강 내 세균 증식으로 인해 입 냄새가 심해집니다.
5) 치아가 흔들리는 느낌 : 치주인대가 파괴되어 치아가 흔들릴 수 있습니다.
3. 치료
1) 스케일릴 : 치석을 제거하는 치료입니다.
2) 루트 플래닝 : 치근 표면에 붙어 있는 치석과 세균을 제거하는 치료입니다.
3) 항생제 치료 : 심한 경우 항생제를 복용하여 세균 감염을 치료합니다.
4) 잇몸 수술 : 잇몸 조직을 재생시키는 수술이 필요할 수 있습니다.
4. 예방
1) 정기적인 구강 검진 : 6개월에 한 번씩 치과를 방문해 검진을 받고, 필요한 치료를 받습니다.
2) 꼼꼼한 칫솔질 : 하루에 3번 이상 부드러운 칫솔로 꼼꼼하게 칫솔질을 합니다.
3) 치간 칫솔 사용 : 치아 사이에 끼인 음식물을 제거합니다.
4) 구강청결제 사용 : 구강 내 세균을 줄이는 데 도움이 됩니다.
5) 금연 : 흡연은 치은염을 악화시키므로 금연하는 것이 좋습니다.
6) 균형 잡힌 식단 : 비타민과 무기질이 풍부한 음식을 섭취해 잇몸 건강을 유지합니다.