미국 과학자들은 혈액검사를 통해 대장암을 조기 발견하는 방법을 개발했습니다. 이 방법은 혈액 속에 떠다니는 DNA 조각을 분석하는 원리를 기반으로 합니다.

대장암 조기 발견의 중요성
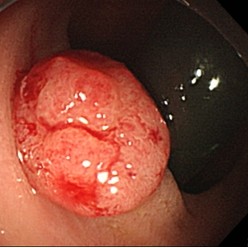
대장암은 조기에 발견되면 사망 위험을 최대 73%까지 낮출 수 있습니다. 그러나 현재 병원에서는 대장내시경 검사 중 이상 부위가 발견되면 조직을 직접 떼어내 암인지 아닌지 검사하는 조직생검을 하고 있습니다. 이 방법은 정확하지만 정기적으로 대장내시경을 받아야 하기 때문에 번거롭습니다. 또한 40대 이하 젊은 층은 대개 대장내시경을 받지 않는 경향이 있습니다.
혈액검사로 대장암 조기 발견
연구진은 혈액 속에 떠다니는 DNA 조각을 분석하는 '무세포 DNA (cfDNA) 혈액검사’를 진행했습니다. 이 검사를 받은 결과 약 87% 정확도로 대장암을 조기 발견했습니다. 이들의 대장내시경 검사와 조직생검 검사 결과와 비교했더니, 암 초중기에 해당하는 1~3기에 대한 정확도가 87.5%였습니다. 암이 되기 전의 폴립을 찾아내는 정확도는 13.2%였습니다.

이 혈액검사를 받은 결과 암이 의심되는 사람은 대장내시경을 통해 종양을 직접 확인하고 제거할 수 있다고 설명했습니다. 조기 대장암을 발견하는 데에는 유용하게 쓰일 수 있지만, 폴립을 찾는 데에는 아직까지 한계가 있습니다. 기존 방법으로 폴립을 찾을 가능성은 대변검사 43%, 대장내시경 검사 94%나 되기 때문입니다. 폴립은 건강에 해가 되지 않지만 이중 일부가 나중에 암이 될 수 있어 검사에서 발견되면 대부분 제거합니다.
이러한 혈액검사는 많은 환자들이 시간에 쫓기는 일차 병원에서 대장암을 조기 진단하는 데에 유용하게 쓰일 것으로 기대됩니다. 다만, 환자와 충분히 대화하여 폴립을 찾는 데에는 아직 한계가 있다는 사실을 알려드리는 것이 중요합니다.
"이 포스팅은 쿠팡 파트너스 활동의 일환으로, 이에 따른 일정액의 수수료를 제공받습니다."
'신체건강' 카테고리의 다른 글
| 보기 싫은 발톱 무좀 증상과 치료 방법 (0) | 2024.03.14 |
|---|---|
| 비문증 : 눈 앞에 작은 검은 점이나 선이 떠다닌다면? (0) | 2024.03.14 |
| 동맥과 정맥의 구조와 기능에 따른 차이점 (0) | 2024.03.14 |
| 먹을 먹을 때 우유랑 먹으면 안되는 이유 (0) | 2024.03.13 |
| 뇌하수체의 구조와 기능, 분비 호르몬 (0) | 2024.03.12 |