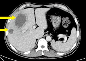
간농양은 간에 생기는 고름집입니다. 세균, 기생충, 곰팡이 등의 감염으로 인해 발생하며, 급성 또는 만성으로 진행될 수 있습니다. 급성 간농양은 진행되어 심각한 증상을 유발할 수 있고, 만성 간농양은 장기간 지속되며 간 손상을 유발할 수 있습니다.

1. 간농양 원인
간농양의 주요 원인은 다음과 같습니다.
1) 세균 감염 : 대장균, 포도상구균 등의 세균 감염이 발생한 경우
2) 기생충 감염 : 아메바, 간흡충 등의 기생충 감염이 발생한 경우
3) 곰팡이 감염 : 면역력이 약한 환자에게 곰팡이 감염이 발생한 경우
4) 혈관 감염 : 다른 부위의 혈관 감염이 간으로 전파되는 경우
5) 외상 : 간 손상을 입은 경우

2. 원인
1) 발열 : 38도 이상의 고열
2) 오한
3) 복통 : 상복부 또는 우상복부 통증
4) 팽만감 : 복부 팽만
5) 메스꺼움
6) 식욕 부진
7) 체중 감소
8) 피로
9) 황달
3. 치료
1) 항생제 치료 : 세균 감염이 원인인 경우 항생제를 처방합니다.
2) 기생충 치료 : 기생충 감염이 원인인 경우 기생충 치료제를 처방합니다.
3) 항진균제 치료 : 곰팡이 감염이 원인인 경우 항진균제를 처방합니다.
4) 농양 배출 : 농양이 크거나 증상이 심한 경우 농양을 배출하기 위한 수술이 필요할 수 있습니다.
"이 포스팅은 쿠팡 파트너스 활동의 일환으로, 이에 따른 일정액의 수수료를 제공받습니다."
4. 예방
1) 균형 잡힌 식단을 유지하고 과식을 피합니다.
2) 규칙적인 운동을 통해 건강을 유지합니다.
3) 과도한 음주는 간 건강에 해롭습니다.
4) 정기적인 검진을 통해 간 건강을 관리합니다.
5) 손위생, 음식을 깨끗하게 조리하여 감염을 예방합니다.
'신체건강' 카테고리의 다른 글
| 간흡충증(clonorchiasis): 간을 갉아먹는 기생충 (0) | 2024.02.04 |
|---|---|
| 간혈관종(hepatic hemangioma): 재재의 혼술 라이프로 망가진 간 (0) | 2024.02.04 |
| 간낭종: 간에 생기는 물혹, 무시해도 될까? (0) | 2024.02.04 |
| 검열반(Pinguecula): 눈의 노란 덩어리, 익상편과 차이점은? (0) | 2024.02.03 |
| 눈이 아프고 흐릿하게 보인다면? 각막궤양(corneal ulcer)일 수 있어요! (0) | 2024.02.03 |