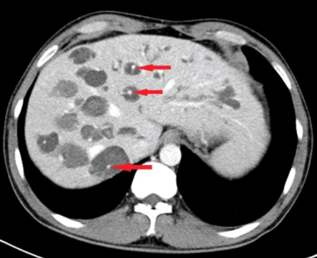
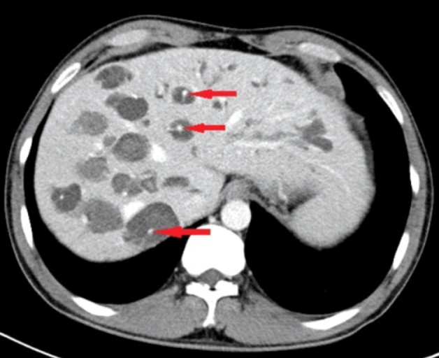
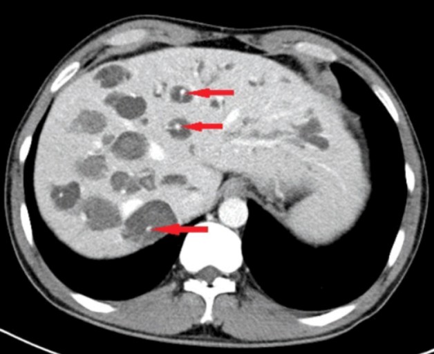
간낭종은 간에 발생하는 양성 종양입니다. 물혹처럼 생겼으며, 대부분 무증상으로 진행됩니다. 드물게 증상이 나타나기도 하지만, 일반적으로 치료가 필요하지 않습니다. 간낭종은 전 연령대에서 발생할 수 있고, 여성에게 조금 더 흔합니다.

1. 간낭종 원인
1) 선천적 이상 : 태어날 대 이미 간에 이상이 있어 발생하는 경우입니다.
2) 기생충 감염 : 특정 기생충 감염은 간낭종 발생과 관련이 있는 것으로 알려져 있습니다.
3) 간 손상 : 간 손상을 입은 경우 간낭종이 발생할 수 있습니다.
4) 암 : 드물게 간암의 일종으로 발생할 수 있습니다.

2. 증상
- 복통
- 복부 팽만감
- 메스꺼움
- 식욕 부진
- 체중 감소
"이 포스팅은 쿠팡 파트너스 활동의 일환으로, 이에 따른 일정액의 수수료를 제공받습니다."
3. 치료
간낭종은 대부분 치료가 필요하지 않습니다. 하지만 다음과 같은 경우 치료를 고려할 수 있습니다.
1) 증상이 나타나는 경우 : 복통, 팽만감, 메스꺼움 등의 증상이 나타나는 경우 치료를 고려할 수 있습니다.
2) 간낭종이 커지는 경우 : 간낭종이 커져서 주변에 장기를 압박하거나 다른 합병증을 유발할 가능성이 있는 경우 치료를 고려할 수 있습니다.
3) 악성 가능성이 있는 경우 : 드물게 간낭종이 악성일 가능성이 있는 경우 치료를 고려해야 합니다.
치료방법은 다음과 같습니다.
1) 경우 관찰 : 증상이 없고, 간낭종이 작은 경우에는 정기적인 검진을 통해 관찰만 하는 경우도 있습니다.
2) 약물치료 : 증상이 심한 경우 진통제나 항염증제를 처방할 수 있습니다.
3) 수술치료 : 간낭종을 제거하기 위한 수술이 필요할 수 있습니다.
'신체건강' 카테고리의 다른 글
| 간혈관종(hepatic hemangioma): 재재의 혼술 라이프로 망가진 간 (0) | 2024.02.04 |
|---|---|
| 간농양(liver abscess): 간에 생기는 고름집, 증상, 원인, 치료 및 예방 (1) | 2024.02.04 |
| 검열반(Pinguecula): 눈의 노란 덩어리, 익상편과 차이점은? (0) | 2024.02.03 |
| 눈이 아프고 흐릿하게 보인다면? 각막궤양(corneal ulcer)일 수 있어요! (0) | 2024.02.03 |
| 비타민 B1 부족으로 인한 질환, 각기병(beriberi) (0) | 2024.02.03 |