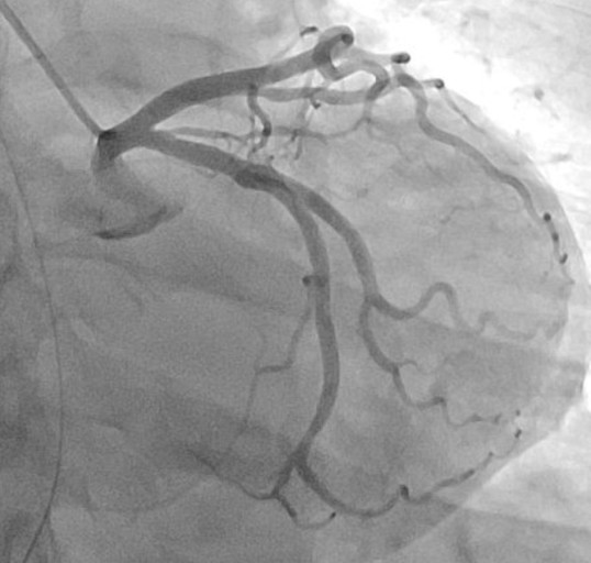
관상동맥 조영술은 심장 근육에 혈액을 공급하는 관상동맥의 상태를 진단하는 검사입니다. 흉통, 호흡곤란 등 협심증이나 심근경색증 등의 증상이 있는 환자에게 시행합니다.

1. 검사방법
- 국소 마취 또는 진정제를 사용하여 시술 부위를 마취합니다.
- 팔이나 다리의 동맥에 작은 절개를 하고 도관을 삽입합니다.
- 도관을 통해 조영제를 주입하고 관상동맥을 촬영합니다.
- 촬영 후 도관을 제거하고 절개 부위를 봉합합니다.

2. 검사주기
관상동맥 조영술의 검사 주기는 환자의 증상, 심장 건강 상태, 의사의 판단에 따라 달라집니다. 일반적으로 증상이 나타나거나 심장 건강 상태가 변화할 때 시행하게 됩니다.
3. 소요시간
관상동맥 조영술의 소요시간은 약 30분에서 1시간 정도 소요됩니다.

4. 주의사항
- 검사 전에 혈액 응고 검사, 혈압 측정, 심전도 검사 등을 시행해야 합니다.
- 검사 당일에는 금식해야 합니다.
- 검사 후에는 혈관 출혈 부위를 압박하기 위해 팔이나 다리에 압박대를 감아야 하고, 4~6시간 안정을 취해야 합니다.
5. 관련 검사법
관상동맥 조영술 외에도 다음과 같은 검사법을 통해 관상동맥의 상태를 진단할 수 있습니다.
- 심장 초음파 : 심장의 구조와 기능을 평가하는 검사
- 심장 CT : 심장과 관상동맥의 3D 영상을 얻는 검사
- 심장 MRI : 심장의 근육과 조직을 자세하게 평가하는 검사
"이 포스팅은 쿠팡 파트너스 활동의 일환으로, 이에 따른 일정액의 수수료를 제공받습니다."
6. 기타
- 관상동맥 조영술은 침습적인 검사입니다.
- 관상동맥 조영술은 드물지만 합병증(통증, 출혈, 감염)이 발생할 수 있습니다.
- 관상동맥 조영술은 비용이 많이 드는 검사입니다.
관상동맥 조영술은 심장 건강을 진단하는 중요한 검사입니다. 검사 전에 충분히 준비하고, 검사 후에는 주의 사항을 숙지하여 안전하게 검사를 받으시기 바랍니다.
'신체건강' 카테고리의 다른 글
| 입 안이 마르고 불편한 당신, 구강건조증(xerostomia) 일지도 몰라요! (0) | 2024.02.08 |
|---|---|
| 괴혈병: 비타민 C 결핍으로 인한 치명적인 질병 (0) | 2024.02.08 |
| 과호흡 증후군(hyperventilation syndrome): 숨을 너무 많이 쉬면서 느끼는 불안과 괴로움 (0) | 2024.02.07 |
| 과민성 방광(overactive bladder); 자꾸 화장실을 찾아야 하는 불편함 (0) | 2024.02.07 |
| 고압산소치료(hyperbaric oxygen therapy)의 효능, 치료과정, 안전성에 대하여 (0) | 2024.02.06 |