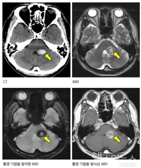
해면상 혈관종은 뇌, 척수, 간, 피부 등에 발생하는 혈관 기형입니다. 해면상 혈관종은 혈관의 내피세포가 비정상적으로 증식해 혈관이 비정상적으로 확장된 것입니다. 해면상 혈관종은 뇌에 가장 많이 발생하고, 뇌에 발생하는 경우 뇌출혈, 발작, 두통 등의 증상을 유발할 수 있습니다.

1. 원인
해면상 혈관종의 정확한 원인은 밝혀지지 않았지만, 유전적 요인과 환경적 요인에 의해 발생하는 것으로 알려져 있습니다. 유전적 요인으로는 CCM1, CCM2, CCM3 유전자 돌연변이가 관련이 있는 것으로 알려져 있습니다. 환경적 요인으로는 임신 중 감염, 방사선 노출 등이 관련이 있는 것으로 알려져 있습니다.

2. 증상
해면상 혈관종의 증상은 위치와 크기에 따라 다양합니다. 뇌에 발생하는 경우 다음과 같은 증상이 나타날 수 있습니다.
- 뇌출혈
- 발작
- 두통
- 신경학적 이상 증상으로 감각 이상, 마비, 언어 장애 등 발생
다른 부위에 발생하는 경우 다음과 같은 증상이 나타날 수 있습니다.
- 척수 해면상 혈관종 : 척수의 손상으로 마비, 감각 이상, 배뇨 장애 등을 초래합니다.
- 간 해면상 혈관종 : 간암의 위험을 증가시킬 수 있습니다.
- 피부 해면상 혈관종 : 붉은 반점이나 혹이 나타날 수 있습니다.

3. 치료
해면상 혈관종의 치료는 증상에 따라 달라집니다. 뇌출혈이 발생한 경우 즉시 수술을 통해 혈관종을 제거합니다. 발작이 발생하는 경우 항경련제를 투여해 발작을 조절합니다. 두통이 심한 경우 진통제를 투여합니다. 신경학적 이상 증상이 나타나는 경우 신경외과적 수술을 통해 혈관종을 제거하거나, 혈관을 압박해 혈액 공급을 차단합니다.
해면상 혈관종은 뇌에 가장 많이 발생하는 혈관 기형으로, 뇌출혈, 발작, 두통 등의 증상을 유발할 수 있습니다. 해면상 혈관종의 증상이 나타나면 즉시 병원을 방문해 적절한 치료를 받는 것이 중요합니다.
"이 포스팅은 쿠팡 파트너스 활동의 일환으로, 이에 따른 일정액의 수수료를 제공받습니다."
'신체건강' 카테고리의 다른 글
| 혈관염, 혈관이 있는 곳이라면 어느 곳이든 발생할 수 있는 자가면역 질환 (2) | 2023.11.27 |
|---|---|
| 헌팅톤병(Huntington's disease), 점점 심해지는 불수의적 움직임 (7) | 2023.11.26 |
| 항인지질항체증후군(APS), 혈액응고를 유발하는 자가면역질환 (5) | 2023.11.26 |
| 문근영 급성구획증후군, 혈액 공급 차단으로 인한 근육 괴사가 발생하는 희귀질환 (7) | 2023.11.25 |
| 항문소양증, 근질근질 참을 수 없는 가려움 (5) | 2023.11.25 |