반응형

2024/09/15 6

잇몸이 내려앉는 이유? 잇몸 퇴축의 모든 것

잇몸 퇴축은 치아 뿌리 부분을 덮고 있는 잇몸이 점점 아래로 내려앉는 현상을 말합니다. 단순히 미용적인 문제로만 생각하기 쉽지만, 치아 뿌리가 노출되면 시림, 잇몸 염증, 심지어는 치아 상실까지 이어질 수 있는 심각한 문제입니다.1. 잇몸 퇴축 원인1) 치주 질환 : 치은염, 치주염과 같은 잇몸 질환이 가장 흔한 원인입니다. 염증으로 인해 잇몸 뼈가 파괴되면서 잇몸이 내려앉게 됩니다.2) 잘못된 칫솔질 : 칫솔모가 너무 딱딱하거나 칫솔질을 너무 세게 하면 잇몸이 손상될 수 있습니다.3) 부정교합 : 위아래 턱의 맞물림이 정확하지 않으면 특정 부위에 과도한 힘이 가해져 잇몸이 퇴축될 수 있습니다.4) 이갈이, 이 악물기 : 이갈이, 이 악물기 습관은 잇몸에 과도한 스트레스를 주어 잇몸 퇴축을 유발할 수 있..

신체건강 2024.09.15

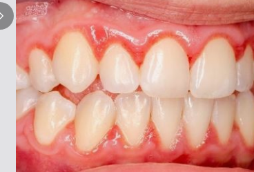
치주염, 치은염을 넘어선 심각한 치과 문제

치은염이 악화되어 잇몸 뼈까지 파괴되는 질환을 치주염이라고 합니다. 초기에는 별다른 증상이 없어 간과하기 쉽지만, 방치하면 치아를 잃는 등 심각한 결과를 초래할 수 있습니다. 치주염은 단순히 잇몸 질환을 넘어 심혈관 질환, 당뇨병 등 전신 건강에도 영향을 미칠 수 있기 때문에 조기 진단과 치료가 매우 중요합니다.1. 치주염 원인치주염의 가장 큰 원인은 치태와 치석입니다. 치아에 붙어 있는 플라크(치태)가 굳어져 치석이 되면 세균이 번식하기 좋은 환경이 조성되고, 이로 인해 잇몸에 염증이 생기고 뼈까지 파괴합니다.1) 플라크 : 치아에 달라붙는 무색 투명한 끈끈한 막으로, 세균이 서식하는 곳입니다.2) 치석 : 플라크가 굳어져 형성된 단단한 물질로, 칫솔질로 제거되지 않습니다.3) 흡연 : 흡연은 혈액순환..

신체건강 2024.09.15

치은염, 잇몸병의 시작, 어떻게 관리해야 할까요?

치은염은 잇몸에 염증이 생기는 질환으로, 초기에는 별다른 증상이 없어 간과하기 쉽지만 방치하면 심각한 구강 질환으로 이어질 수 있습니다. 치아를 둘러싸고 있는 잇몸은 치아를 지지하는 중요한 역할을 하므로, 치은염을 조기에 발견하고 치료하는 것이 중요합니다.1. 치은염의 원인치은염의 가장 큰 원인은 구강 위생 관리 부족입니다. 칫솔질을 제대로 하지 않아 치아에 플라크와 치석이 쌓이면 세균이 번식하기 좋은 환경이 조성되고, 이로 인해 잇몸에 염증이 발생합니다.1) 블라크 : 치아에 달라붙는 무색 투명한 끈끈한 막으로, 세균이 서식하는 곳입니다.2) 치석 : 플라크가 굳어져 형성된 단단한 물질로, 칫솔질로 제거되지 않습니다.3) 흡연 : 흡연은 혈액순환을 방해하여 잇몸 조직의 회복을 더디게 합니다.4) 약물 ..

신체건강 2024.09.15

방광염, 왜 걸릴까?

방광염은 방광에 세균이 감염되어 발생하는 염증 질환입니다. 특히 여성들에게 흔하게 나타나는 질환으로, 요로감염의 가장 흔한 형태 중 하나입니다. 방광염은 단순히 불편함을 넘어 신우신염과 같은 더 심각한 질환으로 이어질 수 있으므로, 조기발견과 치료가 중요합니다.1. 방광염의 원인방광염의 가장 흔한 원인은 대장균과 같은 세균 감염입니다. 이러한 세균은 요도를 통해 방광으로 이동해 염증을 유발합니다.1) 여성의 해부학적 특징 : 여성의 요도가 남성보다 짧고 항문과 가까워 세균 감염에 취약합니다.2) 성관계 : 성관계 시 세균이 요도를 통해 방광으로 이동할 수 있습니다.3) 면역력 저하 : 당뇨병, 면역억제제 복용 등으로 면역력이 저하된 경우 감염에 취약해집니다.4) 요도 협착 : 요도가 좁아져 소변이 원활하..

신체건강 2024.09.15

소변에 거품이 많이 나오는 이유는?

소변에 거품이 많이 나오면 건강에 이상이 있는 것은 아닌지 걱정이 되실 텐데요. 소변에 거품이 생기는 이유는 다양하며, 대부분은 심각한 문제는 아니지만, 때로는 신장 질환과 같은 심각한 질환을 나타내는 신호일 수 있습니다.1. 소변에 거품이 생기는 주된 이유는?1) 소변 줄기가 셀 때 : 소변을 볼 때 세게 누면 소변이 공기와 부딪히면서 거품이 생길 수 있습니다. 특히 남성의 경우 서서 소변을 볼 때 더욱 쉽게 거품이 발생할 수 있습니다.2) 요로감염 : 요로 감염 시 소변에 단백질 성분이 섞여 나오면서 거품이 발생할 수 있습니다.3) 발열 : 고열이 있을 때 신체 대사가 활발해지면서 단백질이 소변으로 배출되어 거품이 생길 수 있습니다.4) 격렬한 운동 후 : 운동 후에는 혈액 순환이 활발해지면서 단백질..

신체건강 2024.09.15

소변은 어떻게 만들어질까요?

우리 몸은 하루에도 엄청난 양의 노폐물을 만들어냅니다. 이러한 노폐물은 몸 밖으로 배출하는 것은 건강한 삶을 유지하는 데 필수적인 과정입니다. 오늘은 우리 몸속에서 소변이 만들어져 배설되는 놀라운 과정에 대해서 자세히 알아보도록 하겠습니다.1. 소변은 어떻게 만들어질까요?소변은 혈액을 정화하는 과정에서 만들어집니다. 혈액 속에는 우리 몸에 필요한 영양분과 함께 불필요한 노폐물이 함께 섞여 있습니다. 신장은 이러한 혈액을 걸러내 노폐물을 제거하고, 필요한 성분은 다시 혈액으로 되돌려 보내는 역할을 합니다.2. 소변 생성 과정은 어떻게 되나요?1) 여과  : 혈액이 신장의 사구체라는 작은 혈관 뭉치를 통과하면서 물, 포도당, 무기염류, 요소 등이 혈관 밖으로 걸러집니다. 이렇게 걸러진 액체를 원뇨라고 합니다..

신체건강 2024.09.15
반응형