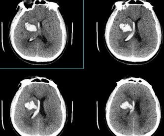
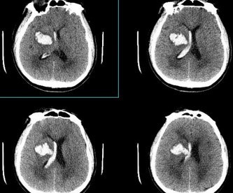
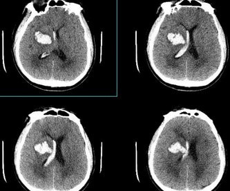
고혈압성 뇌출혈은 뇌혈관이 터져 뇌 조직에 출혈하는 응급 상황입니다. 고혈압 환자에게서 흔히 발생하며, 빠른 진단과 치료가 중요합니다. 치료가 지연되거나 적절하지 않을 경우 사망이나 심각한 장애를 초래할 수 있습니다.

1. 고혈압성 뇌출혈 원인
1) 고혈압 : 가장 흔한 원인이며, 혈압이 높으면 혈관에 지속적인 스트레스가 가해져 혈관이 약해지고 뇌출혈이 발생할 위험이 높아집니다.
2) 뇌혈관 이상 : 뇌동맥류, 뇌동맥 기형 등 뇌혈관 이상은 뇌출혈의 위험을 증가시킵니다.
3) 혈액 응고 장애 : 혈액 응고 장애가 있는 경우 혈관이 터져 출혈이 발생할 위험이 높아집니다.
4) 두부 외상 : 두부 외상으로 인해 뇌혈관이 손상되어 출혈이 발생할 수 있습니다.
5) 알코올, 흡연, 약물 남용 : 알코올, 흡연, 약물 남용은 혈압을 높이고, 뇌혈관 손상을 유발하여 뇌출혈 위험을 증가시킵니다.

2. 증상
1) 갑작스러운 두통 : 가장 흔한 증상이며, 뇌출혈이 발생하면 갑자기 심한 두통이 나타납니다.
2) 구토 : 두통과 함께 구토가 발생할 수 있습니다.
3) 의식 저하 : 뇌출혈의 심각도에 따라 의식 저하가 발생할 수 있습니다.
4) 마비 : 뇌출혈 위치에 따라 한쪽 또는 양쪽 신체 마비가 발생할 수 있습니다.
5) 언어장애 : 말을 하거나 이해하는 데 어려움을 겪을 수 있습니다.
6) 시력장애 : 시야가 흐릿해지거나 시야가 좁아질 수 있습니다.
"이 포스팅은 쿠팡 파트너스 활동의 일환으로, 이에 따른 일정액의 수수료를 제공받습니다."
3. 치료
1) 응급처치
- 혈압 조절 : 혈압을 감소시키는 약물을 투여합니다.
- 호흡 관리 : 의식 저하로 인해 호흡이 어려운 경우 인공호흡기를 사용합니다.
- 출혈량 감소 : 혈액응고제를 투여해 출혈을 멈추고 혈종 형성을 최소화합니다.
- 뇌압 감소 : 뇌압이 높아 뇌 손상을 유발할 경우 탈수제, 머리 뒤쪽에 구멍을 뚫어 뇌척수액을 배출하는 수술 등을 시행합니다.
2) 수술
- 뇌종 제거 : 혈종이 크고 뇌압을 높이거나 신경학적 증상을 악화시킬 경우 수술을 통해 혈종을 제거합니다.
- 뇌동맥류 치료 : 뇌출혈이 뇌동맥류로 인해 발생한 경우 수술 또는 코일 삽입술 등을 통해 뇌동맥류를 치료합니다.
3) 재활 치료
뇌출혈 후 회복 과정에서 물리치료, 작업치료, 언어치료, 심리치료 등 재활 치료를 통해 기능 회복을 돕습니다.

4. 치료 후 관리
- 혈압 관리 : 혈압을 꾸준히 관리하며 뇌출혈 재발을 예방해야 합니다.
- 건강한 생활 습관 : 규칙적인 운동, 건강한 식단, 금연, 절주 등 건강한 생활 습관을 유지해야 합니다.
- 정기적인 검진 : 정기적인 검진을 통해 뇌출혈 재발 위험을 확인하고 관리해야 합니다.
'신체건강' 카테고리의 다른 글
| 에피펜(EpiPen)이란 무엇일까요? (0) | 2024.02.09 |
|---|---|
| 곤충 알레르기: 심한 경우 아나필락시스 쇼크에 빠질 수 있어요 (0) | 2024.02.09 |
| 고지혈증(hyperlipidemia): 혈액 속 지방, 위험한 폭탄이 되다 (0) | 2024.02.09 |
| 고주파열치료(radiofrequency ablation, RFA)란 무엇일까요? (0) | 2024.02.09 |
| 입 안이 마르고 불편한 당신, 구강건조증(xerostomia) 일지도 몰라요! (0) | 2024.02.08 |