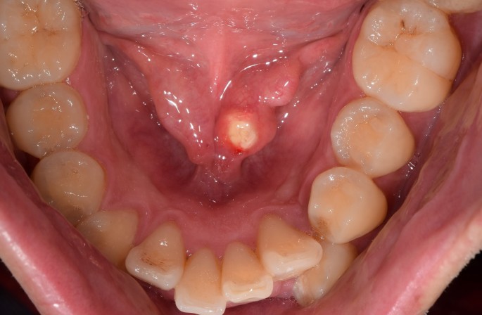
타석증은 침샘에 돌이 생기는 질환입니다. 침샘은 입안을 촉촉하게 유지하고, 음식을 소화하는 데 필요한 침을 분비하는 기관입니다. 타석증은 침샘의 어느 부위에나 돌이 생길 수 있지만, 가장 흔하게 이하선에서 가장 잘 발생합니다.
![]() |
![]() |
| 출처 : 밥먹을 때 침샘이 부어올라요 :: 침이 배출되.. : 네이버블로그 (naver.com) | 출처 : 침샘염에 좋은 음식 원인 종류 치료 타액선염 .. : 네이버블로그 (naver.com) |
1. 타석증 원인
1) 침샘의 점도 증가 : 침이 끈적끈적해지면 돌이 생기기 쉽습니다.
2) 침샘의 배출 감소 : 침샘의 배출이 감소하면 침이 뭉쳐져 돌이 생기기 쉽습니다.
3) 침샘관의 염증과 칼슘염 침착 : 침샘관의 염증과 칼슘염 침착으로 인해 돌이 생길 수 있습니다.
2. 증상
1) 침샘 부위 통증
2) 부기
3) 압통
4) 발적
5) 침 분비 감소
6) 음식을 씹을 때 통증
3. 진단
1) 한 손은 입속에서, 다른 한 손은 목 밖에서, 손가락을 이용해 침샘과 침샘관 부위를 만져보고 진단합니다.
2) 경부 CT, 구강저 단순촬영 : 침샘들을 중심으로 목 부위의 CT 촬영을 해서 타석증을 확인합니다.
3) 타액선관 조영술 : 타액선관에 가느다란 관을 넣어 조영제를 주입해 타액선관의 상태, 타석의 유무, 위치 등을 검사합니다.
4) 초음파 검사 : 초음파는 타석을 투과하지 못하는 성질이 있으므로 침샘이나 침샘관 주위를 초음파로 관찰하면 타석을 진단할 수 있습니다.
4. 치료
1) 구강을 청결하게 하고, 소독용 구강 가글액으로 가글을 자주 합니다.
2) 수분 섭취를 증가하고, 통증이 있다면 소염진통제를 복용합니다. 주스나 과일을 많이 마시고, 침 분비가 증가하면 타석이 밀려 저절로 빠져나올 수 있습니다.
3) 이차 감염에 의해 농이 배출되는 경우에는 항생제를 사용합니다.
4) 증상이 호전되지 않으면 수술을 시행해서 타석을 제거합니다. 타석이 침샘관 시작점이나 침샘 내부에 위치할 때는 전신 마취를 하고 경부절개를 통해 침샘 절제술을 시행합니다.
타석증을 예방하기 위해서는 양치질을 잘 하고 구강 소독액으로 자주 가글을 해서 입 안을 청결히 합니다. 평소 수분 섭취량을 증가시키는 것이 예방에 큰 도움이 됩니다.
"이 포스팅은 쿠팡 파트너스 활동의 일환으로, 이에 따른 일정액의 수수료를 제공받습니다."
'신체건강' 카테고리의 다른 글
| 복합부위통증증후군(CRPS), 옷깃만 스쳐도 아프다면 (6) | 2023.11.08 |
|---|---|
| 탄저병, 치사율 90%의 무서운 질병 (3) | 2023.11.06 |
| 크루존병, 유전자변이로 발생하는 희귀질환 (2) | 2023.11.06 |
| 크로이츠펠트-야콥병, 조기치료 놓치면 6~12개월 이내 사망 (3) | 2023.11.06 |
| 크레틴병, 조기에 치료하지 않으면 치명적일 수 있어요 (2) | 2023.11.06 |


