반응형

전체 글 931

점점 넓어지는 모공, 그 원인과 해결책

오늘은 많은 분들이 고민하는 모공 문제에 대해서 자세하 알아보고, 모공을 줄이기 위한 다양한 방법들을 소개해 드리려 합니다.1. 왜 모공은 점점 커질까요?1) 피지 과다 분비 : 피지선에서 과도하게 분비된 피지가 모공을 막고 늘어나게 만듭니다.2) 노화 : 나이가 들면서 피부 탄력이 저하되어 모공이 처지고 커져 보입니다.3) 잘못된 클렌징 : 과도한 세안이나 자극적인 클렌징 제품은 피부를 건조하게 만들어 피지 분비를 촉진하고 모공을 넓힐 수 있습니다.4) 호르몬 변화 : 여성의 경우 생리 주기나 임신 등 호르몬 변화에 따라 피지 분비량이 증가하여 모공이 커질 수 있습니다.5) 회부 자극 : 미세먼지, 스트레스, 불규칙한 생활습관 등 다양한 외부 자극이 모공 확장에 영향을 미칩니다.2. 모공을 줄이기 위한..

신체건강 2024.09.18

검버섯, 햇빛과 노화가 만든 피부의 점

검버섯은 노화와 햇빛 노출이라는 두 가지 주요 원인에 의해 발생하는 피부의 색소 침착입니다. 특히 손등, 얼굴, 팔 등 햇볕에 자주 노출되는 부위에 주로 나타나며, 미용적인 문제뿐만 아니라 건강에도 영향을 미칠 수 있습니다. 1. 검버섯의 원인은 무엇일까요?1) 자외선 노출 : 가장 큰 원인은 햇빛에 포함된 자외선입니다. 자외선은 피부의 멜라닌 세포를 자극해 과도한 색소를 생성하게 만들고, 이것이 검버섯으로 나타납니다.2) 노화 : 나이가 들면서 피부 재생 능력이 떨어지고, 멜라닌 세포의 기능이 변화하면서 검버섯이 발생하기 쉽습니다.3) 유전적 요인 : 부모에게서 검버섯이 많이 발생하는 경우, 자녀에게도 유전될 가능성이 높습니다.4) 호르몬 변화 : 임신이나 폐경 등 변화가 일어날 때 검버섯이 발생하거나..

신체건강 2024.09.18

가수 김윤아를 각방 쓰게 만든 질환: 수면무호흡증

밤새도록 잠 못 이루고 뒤척이며, 낮에는 끊임없이 졸음과의 싸움을 벌이는 당신. 혹시 수면무호흡증은 아닐까요? 가수 윤아가 남편의 수면무호흡증으로 인해 각방을 쓰게 되었다는 말을 할 정도로, 수면무호흡증은 단순히 잠을 못 자는 것을 넘어서서 건강에 심각한 영향을 미칠 수 있습니다. 1. 수면무호흡증이란 무엇일까요?수면무호흡증은 잠을 자는 동안 호흡이 반복적으로 멈추거나 얕아지는 질환입니다. 이런 현상이 반복되면 뇌로 공급되는 산소량이 줄어들어 숙면을 방해하고, 낮에는 극심한 졸음을 유발하게 됩니다.2. 원인은?1) 폐쇄성 수면무호흡증 : 가장 흔한 원인으로 기도가 막히면서 호흡이 곤란해지는 경우입니다.2) 비만 : 과체중이나 비만은 목 주위에 지방이 축적되어 기도를 좁히는 주요 원인입니다.3) 기도 구조..

신체건강 2024.09.18

반려동물과 함께라면 주의해야 할 식물!

사랑스러운 반려동물과 함께 행복한 시간을 보내고 계신가요? 푸른 식물로 집안을 꾸미고 싶지만, 반려동물의 건강을 위해 망설여지나요? 일부 식물은 반려동물에게 독성이 있을 수 있으며, 섭취 시 심각한 건강 문제를 유발할 수 있기 때문이죠. 오늘은 반려동물과 함께 살고 있는 분들을 위해 집안에서는 키우면 안 되는 식물과 안전하게 키울 수 있는 식물에 대해 알려드리겠습니다. 1. 반려동물에게 위험한 식물1) 백합 : 모든 종류의 백합은 고양이에게 치명적인 독성을 지니고 있습니다. 백합은 꽃가루, 잎, 줄기 모두 위험하고, 소량만 섭취해도 신부전을 일으킬 수 있으므로 아주 위험합니다.2) 튤립 : 튤립의 구근(뿌리)에는 독성이 있어 섭취 시 구토, 설사, 심장 박동수 증가를 유발할 수 있으므로 유의해야 합니다...

반려동물 2024.09.18

손가락에 끼는 반지, 어떤 의미가 담겨 있을까요

단순한 장신구를 넘어 개성과 의미를 담는 아이템으로 자리 잡은 반지. 어떤 손가락에 어떤 반지를 끼느냐에 따라 전혀 다른 의미를 나타낼 수 있다는 사실을 알고 계신가요? 오늘은 손가락별 반지의 의미에 대해 자세히 일아보고, 자신에게 맞는 반지를 선택하는 데 도움을 드리도록 하겠습니다.1. 손가락별 반지의 의미1) 엄지손가락 : 엄지손가락에 반지를 끼면 강한 의지와 자존심을 상징합니다. 목표를 향해 나아가는 강한 의지를 표현하고 싶을 때 착용하기 좋습니다.  2) 검지손가락 : 리더십과 권위를 상징하는 손가락입니다. 자신감과 책임감을 나타내고 싶을 때 착용하면 좋고, 일반적인 것보다 화려하고 눈에 띄는 디자인의 반지를 선택하는 것이 좋습니다.3) 중지손가락 : 균형과 조화를 상징합니다. 주변 사람들과의 관..

일상생활 2024.09.18

손목터널증후군 완화를 위한 스트레칭 가이드

손목터널증후군으로 고통받고 계신가요? 손목터널증후군은 손목을 자주 사용하는 사람들에게 흔히 발생할 수 있는 질환입니다. 뻐근함, 저림, 통증 등 일상생활에 불편을 초래하지만, 적절한 운동과 관리를 하면 증상을 완화하고 건강한 손목을 되찾을 수 있습니다. 1. 손목터널증후군이란?손목터널증후군은 손목 안쪽에 있는 정중신경이 눌리면서 발생하는 질환입니다. 손목을 반복적으로 사용하거나 손목에 무리가 가는 자세를 오래 유지할 때 주로 발생하게 되며, 손가락의 저림, 무감각, 통증 등의 증상을 유발하게 됩니다.2. 손목터널증후군에 좋은 운동 방법1) 손목 스트레칭(1) 손목 굽히기 스트레칭 : 한 손으로 반대쪽 손목을 잡고 아래로 부드럽게 눌러 손목을 굽힙니다. 15초간 유지하고 반대쪽도 반복해 줍니다.(2) 손목..

신체건강 2024.09.18

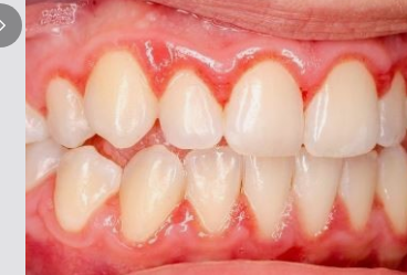
잇몸이 내려앉는 이유? 잇몸 퇴축의 모든 것

잇몸 퇴축은 치아 뿌리 부분을 덮고 있는 잇몸이 점점 아래로 내려앉는 현상을 말합니다. 단순히 미용적인 문제로만 생각하기 쉽지만, 치아 뿌리가 노출되면 시림, 잇몸 염증, 심지어는 치아 상실까지 이어질 수 있는 심각한 문제입니다.1. 잇몸 퇴축 원인1) 치주 질환 : 치은염, 치주염과 같은 잇몸 질환이 가장 흔한 원인입니다. 염증으로 인해 잇몸 뼈가 파괴되면서 잇몸이 내려앉게 됩니다.2) 잘못된 칫솔질 : 칫솔모가 너무 딱딱하거나 칫솔질을 너무 세게 하면 잇몸이 손상될 수 있습니다.3) 부정교합 : 위아래 턱의 맞물림이 정확하지 않으면 특정 부위에 과도한 힘이 가해져 잇몸이 퇴축될 수 있습니다.4) 이갈이, 이 악물기 : 이갈이, 이 악물기 습관은 잇몸에 과도한 스트레스를 주어 잇몸 퇴축을 유발할 수 있..

신체건강 2024.09.15

치주염, 치은염을 넘어선 심각한 치과 문제

치은염이 악화되어 잇몸 뼈까지 파괴되는 질환을 치주염이라고 합니다. 초기에는 별다른 증상이 없어 간과하기 쉽지만, 방치하면 치아를 잃는 등 심각한 결과를 초래할 수 있습니다. 치주염은 단순히 잇몸 질환을 넘어 심혈관 질환, 당뇨병 등 전신 건강에도 영향을 미칠 수 있기 때문에 조기 진단과 치료가 매우 중요합니다.1. 치주염 원인치주염의 가장 큰 원인은 치태와 치석입니다. 치아에 붙어 있는 플라크(치태)가 굳어져 치석이 되면 세균이 번식하기 좋은 환경이 조성되고, 이로 인해 잇몸에 염증이 생기고 뼈까지 파괴합니다.1) 플라크 : 치아에 달라붙는 무색 투명한 끈끈한 막으로, 세균이 서식하는 곳입니다.2) 치석 : 플라크가 굳어져 형성된 단단한 물질로, 칫솔질로 제거되지 않습니다.3) 흡연 : 흡연은 혈액순환..

신체건강 2024.09.15

치은염, 잇몸병의 시작, 어떻게 관리해야 할까요?

치은염은 잇몸에 염증이 생기는 질환으로, 초기에는 별다른 증상이 없어 간과하기 쉽지만 방치하면 심각한 구강 질환으로 이어질 수 있습니다. 치아를 둘러싸고 있는 잇몸은 치아를 지지하는 중요한 역할을 하므로, 치은염을 조기에 발견하고 치료하는 것이 중요합니다.1. 치은염의 원인치은염의 가장 큰 원인은 구강 위생 관리 부족입니다. 칫솔질을 제대로 하지 않아 치아에 플라크와 치석이 쌓이면 세균이 번식하기 좋은 환경이 조성되고, 이로 인해 잇몸에 염증이 발생합니다.1) 블라크 : 치아에 달라붙는 무색 투명한 끈끈한 막으로, 세균이 서식하는 곳입니다.2) 치석 : 플라크가 굳어져 형성된 단단한 물질로, 칫솔질로 제거되지 않습니다.3) 흡연 : 흡연은 혈액순환을 방해하여 잇몸 조직의 회복을 더디게 합니다.4) 약물 ..

신체건강 2024.09.15

방광염, 왜 걸릴까?

방광염은 방광에 세균이 감염되어 발생하는 염증 질환입니다. 특히 여성들에게 흔하게 나타나는 질환으로, 요로감염의 가장 흔한 형태 중 하나입니다. 방광염은 단순히 불편함을 넘어 신우신염과 같은 더 심각한 질환으로 이어질 수 있으므로, 조기발견과 치료가 중요합니다.1. 방광염의 원인방광염의 가장 흔한 원인은 대장균과 같은 세균 감염입니다. 이러한 세균은 요도를 통해 방광으로 이동해 염증을 유발합니다.1) 여성의 해부학적 특징 : 여성의 요도가 남성보다 짧고 항문과 가까워 세균 감염에 취약합니다.2) 성관계 : 성관계 시 세균이 요도를 통해 방광으로 이동할 수 있습니다.3) 면역력 저하 : 당뇨병, 면역억제제 복용 등으로 면역력이 저하된 경우 감염에 취약해집니다.4) 요도 협착 : 요도가 좁아져 소변이 원활하..

신체건강 2024.09.15
반응형