반응형

신체건강 598

급성 췌장염 원인, 증상, 치료방법 : 남자가 여자보다 2배?

급성 췌장염은 췌장에 염증이 생기는 질환입니다. 췌장은 소화액을 분비하는 기관으로, 복부 깊숙이 위치해 있습니다. 급성 췌장염이 발생하면 췌장이 부어오르고, 췌장액이 흘러나와 염증을 유발합니다. 1. 급성 췌장염의 발병률 급성 췌장염은 전 세계적으로 매년약 100만 건 발생하는 것으로 추정하고 있고 모든 연령대에서 발생할 수 있습니다. 그중에서 40~60세의 성인에게 가장 흔하게 발생하고, 남성이 여성보다 약 2배 더 많이 발생합니다. 2. 원인 1) 담석 담석은 급성 췌장염의 가장 흔한 원인입니다. 담석이 췌관을 막아 췌장액의 흐름을 방해하게 되면 염증을 일으킵니다. 담석은 콜레스테롤이나 담즙산염으로 이루어진 딱딱한 덩어리로 담당이나 담관에 생길 수 있습니다. 2) 알코올 알코올은 췌장을 자극해 염증을..

신체건강 2023.09.28

급성폐쇄성후두염, 빠른 치료가 중요

급성폐쇄성후두염은 후두에 염증이 생겨 후두가 부어오르고 좁아지는 질환입니다. 후두는 성대와 기관의 입구에 위치한 기관으로, 소리를 내는 역할을 합니다. 급성폐쇄성후두염이 발생하면 성대의 움직임이 제한되기 때문에 숨쉬기와 말하기가 곤란해집니다. 1. 급성폐쇄성후두염의 발병률 급성폐쇄성후두염은 1~3세의 어린이에게 가장 흔하게 발생합니다. 이는 어린이의 후두가 성인보다 작고 좁기 때문입니다. 또한 어린이는 재채기나 기침 등으로 후두에 세균이나 바이러스가 쉽게 침입할 수 있기 때문입니다. 2. 원인 가장 흔한 원인은 바이러스 감염이며 주로 파라인플루엔자 바이러스, 아데노바이러스, 인플루엔저 바이러스 등입니다. 그 외에도 세균 감염, 알레르기, 흡연 등이 금성폐쇄성후두염의 원인이 될 수 있습니다. 2. 증상 ◎..

신체건강 2023.09.28

급성편도염, 빨리 치료해야 하는 이유

급성편도염은 편도에 염증이 생기는 질환입니다. 편도는 목구멍 양쪽에 위치한 림프 조직으로, 외부에서 침입하는 세균이나 바이러스를 막는 역할을 수행하는 곳입니다. 급성편도염이 발생하면 편도가 붓고, 통증, 열, 기침 등의 증상이 나타날 수 있습니다. 1. 급성편도염의 발병률 급성편도염은 전 세계적으로 가장 흔한 호흡기 질환이며, 어린이의 경우 성인보다 급성편도염에 걸릴 위험이 더 높습니다. 2. 원인 급성편도염의 가장 흔한 원인은 세균 감염입니다. 베타 용혈성 연쇄구균, 포도상구균 등이 급성편도염을 유발하는 주된 세균입니다. 그 외에도 바이러스 감염, 알레르기, 면역력 저하 등이 원인으로 작용할 수 있습니다. 리즈랩 바이알 이뮨 종합 멀티비타민 & 미네랄 30회분, 1박스 COUPANG www.coupan..

신체건강 2023.09.28

급성신우신염 원인, 증상, 치료방법

급성신우신염은 신장과 요관에 염증이 생기는 질병입니다. 신장과 요관은 소변을 걸러내어 배출하는 역할을 하는데, 이곳에 염증이 생기면 소변의 배출이 원활하지 못해 통증, 고열, 오한 등의 증상이 나타날 수 있습니다. 1. 급성신우신염의 원인 급성신우신염의 가장 흔한 원인은 대장균입니다. 대장균은 정상적으로 장내 존재하는 세균이지만, 요도로 들어오면 신장과 요관에 염증이 생길 수 있습니다. 그 외에도 다음과 같은 원인으로 급성신우신염이 발생할 수 있습니다. ◎ 요로감염 : 방광염, 요도염 등이 요로감염에 해당되고, 요로감염이 있는 경우 세균이 신장으로 올라가 급성신우신염을 유발할 수 있습니다. ◎ 요로결석 : 요로결석이 요도를 막으면 소변의 배출이 원활하지 못해 세균이 번식할 수 있습니다. ◎ 임신 : 임신..

신체건강 2023.09.28

급성신부전, 방치하면 투석이나 신장이식 해야 산다

급성신부전은 신장의 기능이 급격하게 저하되는 질병입니다. 신장의 기능이 저하되면 혈액 중 노폐물을 제대로 걸러내지 못해 체내에 노폐물이 축적되게 되고, 그러면서 신장의 기능이 더욱 악화되는 악순환을 반복하게 됩니다. 급성신부전의 발병률은 전 세계적으로 약 1%로 추정하고 있고, 한국에서는 2020년을 기준으로 했을 때 약 10,000명이 급성신부전을 경험한 것으로 알려졌습니다. 1. 급성신부전 원인 1) 신전성 급성신부전 신장으로 가는 혈액의 양이 감소해 발생하는 것으로 탈수, 심부전, 신장결석, 요로감염, 신장 손상 등의 원인으로 발생할 수 있습니다. 2) 신성 급성신부전 신장 자체의 문제로 인해 발생하게 되는데, 약물 부작용, 독성물질에 노출, 혈전, 신장염 등이 원인 될 수 있습니다. 3) 신후성 ..

신체건강 2023.09.28

손목터널증후군: 명절에 악화, 손목보호대, 손목테이핑 방법

목차 1. 손목터널증후군의 원인 2. 증상 3. 진단 4. 치료방법 5. 예방방법(손목보호대 착용) 6. 테이핑 방법 손목터널증후군은 손목을 지나는 손목터널 안쪽의 정중신경이 압박되어 발생하는 질환입니다. 손목터널은 손목의 뼈와 인대로 형성된 통로로, 정중신경과 손목의 9개 힘줄이 지나갑니다. 손목터널증후군이 발생하면 정중신경이 눌리면서 손가락의 감각이 저하되고, 통증, 저림, 감각 이상 등의 증상이 나타납니다. 손목터널증후군은 전 세계적으로 흔한 질환이고 성인 인구의 약 5% 정도에서 발생하고, 여성이 남성보다 약 3배가량 더 많이 발생합니다. 1. 손목터널증후군의 원인 1) 손목을 반복적으로 사용하는 직업이나 취미 컴퓨터 작업, 키보드 사용, 악기 연주, 가사노동 등이 손목터널증후군의 위험을 증가시킬..

신체건강 2023.09.27

급성대장염 원인, 증상, 진단, 치료방법

목차 1. 급성대장염의 원인 2. 증상 3. 진단 4. 치료방법 5. 예방방법 급성대장염은 대장의 점막이 염증을 일으키는 질환입니다. 대장의 점막은 미생물, 독소, 바이러스 등의 자극에 의해 손상될 수 있으며, 이는 염증을 유발합니다. 급성대장염은 다양한 원인에 의해서 발생할 수 있고, 증상이 심하지 않은 경우는 약물로 치료가 가능합니다. 급성대장염은 전 세계적으로 흔하게 발생하는 질환이며, 국내의 경우 연간 발생률은 약 100명 당 1명으로 추정됩니다. 어느 연령대든 발생 가능하지만, 주로 20~40대에서 많이 발생합니다. 1. 급성대장염의 원인 1) 세균 감염 대장염을 일으키는 대표적인 세균으로는 살모넬라균, 대장균, 캄필로박터균 등이 있고, 이런 세균들은 주로 감염된 음식이나 물을 통해 전파됩니다...

신체건강 2023.09.27

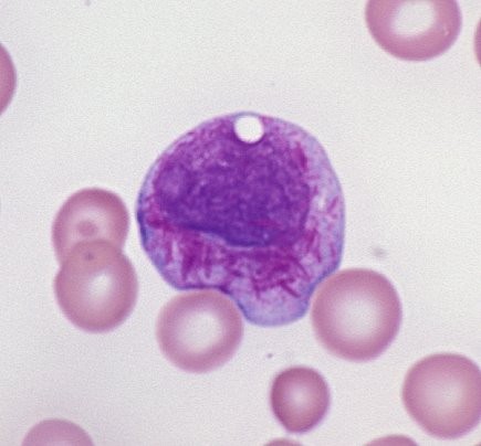
급성골수성백혈병: 원인, 증상, 진단방법과 치료방법

목차 1. 급성골수성백혈병의 원인 2. 증상 3. 진단방법 4. 치료방법 5. 마무리 급성골수성백혈병(Acute Myeloid Leukemia, AML) 은 골수에서 백혈구가 비정상적으로 증식해 정상적인 백혈구가 감소하는 질환을 말합니다. 급성골수성백혈병은 혈액암의 일종이며, 암세포가 혈액을 통해 전신으로 퍼져나가 다양한 증상을 유발하게 됩니다. 급성골수성백혈병의 유병률은 연간 인구 10만 명당 약 4명입니다. 급성골수성백혈병은 주로 65세 이상의 노인에게서 많이 발생하지만 , 모든 연령대에서 발생할 가능성이 있습니다. 1. 급성골수성백혈병의 원인 급성골수성백혈병의 원인은 아직까지 완전하게 밝혀지지 않았지만 유전적 요인, 환경적 요인, 방사선 노출 등이 급성골수성백혈병의 위험을 증가시키는 것으로 알려져 ..

신체건강 2023.09.27

급성 경막하 출혈 : 갑작스럽고 극심한 두통 오면 무조건 119

목차 1. 급성 경막하 출혈 원인 2. 증상 3. 진단방법 4. 치료방법 5. 예방방법 급성 경막하 출혈(Acute subarachnoid hemorrhage, SAH)은 뇌와 척수를 둘러싸고 있는 경막 밑 공간에 출혈이 발생하는 질환입니다. 급성 경막하 출혈은 뇌졸중의 한 종류로, 뇌졸중 중에서도 가장 치명적인 질환 중 하나이므로 주의가 필요합니다. 급성 경막하 출혈의 유병률은 연간 인구 10만 명당 약 20~30명 정도 입니다. 연령대는 주로 50~60대에서 발생하지만, 모든 연령대에서 발생 가능합니다. 1. 급성 경막하 출혈 원인 급성 경막하 출혈의 가장 흔한 원인으로는 뇌동맥류 파열입니다. 뇌동맥류는 뇌혈관의 일부가 약해져서 주머니처럼 부풀어 오른 상태를 말합니다. 뇌동맥류가 파열되면 뇌와 척수를..

신체건강 2023.09.27

궤양성 대장염 원인, 증상, 치료방법, 합병증

궤양성 대장염은 대장 점막에 염증과 궤양이 생기는 만성 염증성 장 질환입니다. 궤양성 대장염은 흔하게 발생하는 질환이며, 한국의 경우 성인 인구의 약 1%에서 발생하는 것으로 연구되어졌습니다. 궤양성 대장염은 연령, 인종, 지역에 따라 발생률의 차이는 있습니다. 20~40대에서 주로 발병하며, 남성보다 여성에게서 더 많이 발생하고 동양보다 서양에서 유병률이 더 높습니다. 1. 궤양성 대장염의 원인 궤양성 대장염의 원인은 아직 불명이며, 다음과 같은 요인들이 관여합니다. 1) 유전적 요인 가족력이 있는 경우에 발병 확률이 높아집니다. 2) 면역 체계 이상 궤양성 대장염 환자의 면역 체계는 정상적인 대장 세포를 외부 침입자로 인식하고 공격하여 염증과 궤양을 유발합니다. 편안한 34종 발효 곡물 효소 포스트바..

신체건강 2023.09.26
반응형