목차
1. 급성골수성백혈병의 원인
2. 증상
3. 진단방법
4. 치료방법
5. 마무리

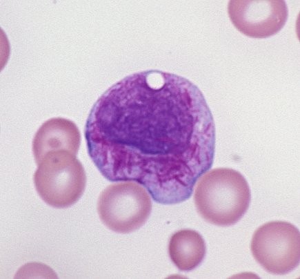
급성골수성백혈병(Acute Myeloid Leukemia, AML) 은 골수에서 백혈구가 비정상적으로 증식해 정상적인 백혈구가 감소하는 질환을 말합니다. 급성골수성백혈병은 혈액암의 일종이며, 암세포가 혈액을 통해 전신으로 퍼져나가 다양한 증상을 유발하게 됩니다.
급성골수성백혈병의 유병률은 연간 인구 10만 명당 약 4명입니다. 급성골수성백혈병은 주로 65세 이상의 노인에게서 많이 발생하지만 , 모든 연령대에서 발생할 가능성이 있습니다.
1. 급성골수성백혈병의 원인
급성골수성백혈병의 원인은 아직까지 완전하게 밝혀지지 않았지만 유전적 요인, 환경적 요인, 방사선 노출 등이 급성골수성백혈병의 위험을 증가시키는 것으로 알려져 있습니다.
1) 유전적 요인
급성골수성백혈병은 가족력이 있는 경우 발생 위험성이 증가됩니다. 또한 특정 유전적 돌연변이는 급성골수성백혈병 위험을 증가시킵니다. 유전적 돌연변이 종류로는 FLT3 돌연변이, NPM1 돌연변이, CEBPA 돌연변이, RUNX1 돌연변이, IDH1/2 돌연변이, TP53 돌연변이가 급성골수성백혈병을 유발합니다.
2) 환경적 요인
흡연은 급성골수성백혈병의 위험을 크게 증가시킵니다. 흡연은 암세포의 성장을 촉진하고 골수 세포의 손상을 유발합니다. 벤젠은 휘발유, 페인트, 접착제 등의 화학물질에 포함되어 있고 이 또한 급성골수성백혈병 위험을 증가시킵니다. 방사선에 노출되면 암세포의 성장을 촉진하고 골수세포 손상을 유발하게 됩니다. 방사선치료, 원자 폭탄 폭발, 산업 현장에서의 방사선 노출 등이 급성골수성백혈병의 유발요인이 됩니다. 그 외에도 염화 비닐, 트리클로로에틸렌, 베릴륨 등이 있습니다.
3) 기타 요인
(1) 바이러스 감염 : EBV(헤르페스 바이러스 일종), HIV(후천성 면역결핍증 유발 바이러스), HTLV-1(바이러스성 T세포 백혈병을 유발하는 바이러스)등 바이러스 감염
(2) 호르몬 : 에스트로겐
(3) 영영 요인 : 비타민 D 결핍

2. 증상
급성골수성백혈병의 초기 증상은 비특이적이어서 인지하기 어려울 수 있습니다. 하지만 일반적인 증상은 다음과 같습니다.
◇ 피로감
◇ 쇠약감
◇ 발열
◇ 오한
◇ 빈혈
◇ 출혈
◇ 감염
급성골수성백혈병이 진행되면 다음과 같은 증상이 유발됩니다.
◇ 골통
◇ 근육통
◇ 복통
◇ 호흡곤란
◇ 의식 저하

3. 진단방법
1) 혈액검사 : 백혈구, 적혈구, 혈소판의 수와 종류를 검사합니다.
2) 골수검사 : 골수에서 암세포의 존재 유무를 검사합니다.
3) 유전자검사 : 암세포의 유전자 이상을 검사합니다.
4. 치료방법
급성골수성백혈병의 치료는 암세포를 제거하고, 정상적인 골수 세포를 재생하는 것을 목표로 합니다. 급성골수성백혈병의 치료방법으로는 다음과 같은 것들이 있습니다.
1) 항암화학요법 : 암세포를 죽이는 약물을 투여합니다.
2) 골수이식 : 건강한 사람의 골수를 이식하는 치료입니다.
3) 표적치료 : 암세포의 특정 단백질이나 유전자를 표적으로 하는 치료입니다.
5. 마무리
급성골수성백혈병은 흡연과 과도한 음주를 피해야 합니다. 건강한 식단을 유지하고, 규칙적인 운동과 방사선 노출을 최소화해야 합니다. 급성골수성백혈병은 치료가 어려울 수 있지만, 조기에 발견하고 치료하면 완치율을 높일 수 있습니다. 따라서 증상이 나타나는 즉시 병원을 방문해 검사를 받는 것이 중요합니다.
'신체건강' 카테고리의 다른 글
| 손목터널증후군: 명절에 악화, 손목보호대, 손목테이핑 방법 (0) | 2023.09.27 |
|---|---|
| 급성대장염 원인, 증상, 진단, 치료방법 (0) | 2023.09.27 |
| 급성 경막하 출혈 : 갑작스럽고 극심한 두통 오면 무조건 119 (0) | 2023.09.27 |
| 궤양성 대장염 원인, 증상, 치료방법, 합병증 (0) | 2023.09.26 |
| 구내염 : 원인, 증상, 치료, 연고 추천 (1) | 2023.09.26 |