반응형

전체 글 931

스트레스가 고혈압, 당뇨병을 유발하는 이유는?

스트레스는 현대인이라면 누구나 한 번쯤 경험하는 감정입니다. 하지만 만성적인 스트레스는 단순히 심리적인 문제뿐만 아니라, 고혈압, 당뇨병과 같은 만성 질환 발생의 위험을 높이는 주요 원인으로 지목되고 있습니다. 왜 스트레스가 이러한 질병과 연관이 있는지 그 이유를 자세히 알아보도록 하겠습니다.1. 스트레스가 고혈압을 유발하는 이유1) 호르몬 변화 : 스트레스를 받으면 우리 몸에서는 코티솔, 아드레날린 등의 스트레스 호르몬이 분비됩니다. 이러한 호르모들은 혈압을 상승시키고 혈관을 수축시켜 고혈압을 유발할 수 있습니다.2) 혈관 손상 : 만성적인 스트레스는 혈관 내벽을 손상시켜 동맥경화를 악화시키고, 혈압을 높이는 데 기여합니다. 3) 생활습관 변화 : 스트레스를 받으면 불규칙한 식습관, 흡연, 음주 등 건..

신체건강 2024.09.11

뇌하수체 전엽에서 생성되는 호르몬

뇌하수체 전엽은 우리 몸의 마스터 조절자라고 불릴 만큼 다양한 호르몬을 분비하여 인체의 성장, 발달, 대사 등을 조절하는 중요한 역할을 수행합니다.  1. 성장호르몬 (Growth Hormone, GH)  -  신체의 성장과 발달을 촉진합니다. -  단백질 합성을 증가시키고, 지방 분해를 촉진해 근육량을 증가시키고 지방량을 감소시킵니다. -  뼈의 성장을 촉진하여 키가 크도록 합니다.2. 갑상선 자극 호르몬 (Thyroid Stimulating Hormone, TSH) -  갑상선을 자극해 갑상선 호르몬 분비를 촉진합니다. -  갑상선 호르몬은 신체의 신진대사를 조절하는 중요한 역할을 합니다. 3. 부신 피질 자극 호르몬 (Adrenocorticotropic Hormone, ACTH) -  부신 겉질을 ..

신체건강 2024.09.11

뼈대근육, 심장근육, 민무늬근육의 구조, 기능, 조절, 특징

인간의 근육조직은 신경의 자극에 반응해 구조가 변하고 길이가 짧아지는 특수한 근육섬유와 세포들로 구성되어 있습니다. 다른 조직과 장기에 물리적인 힘이 가해지면 운동이 일어납니다. 이 기능을 수행하기 위해서는 특별한 세포 배열과 세포소기관을 가지고 있어야 합니다. 형태학적으로 근육은 크게 뼈대근육, 심장근육, 민무늬근육으로 구분할 수 있습니다.1. 뼈대근육1) 구조 : 긴 원통형의 다핵 세포로 이루어져 있고, 가로무늬가 뚜렷하게 보입니다.2) 기능 : 뼈에 부착되어 의식적인 운동을 통해 몸을 움직이고 자세를 유지합니다.3) 조절 : 중추신경계의 자율적인 조절을 받아 수축과 이완을 합니다.4) 특징 :- 강하고 빠른 수축력을 가지지만 피로에 약합니다.- 움직임의 정밀도와 힘 조절이 가능합니다.- 몸의 각 부..

신체건강 2024.09.11

협심증 ; 관상동맥이 좁아져 발생하는 흉통이 특징

협심증은 심장으로 가는 혈관인 관상동맥이 좁아지거나 막혀 심장 근육에 충분한 산소가 공급되지 못해 가슴이 답답하고 아픈 증상을 말합니다. 1. 협심증의 종류1) 안정형 협심증 : 운동이나 스트레스 등의 활동을 할 때 가슴 통증이 발생하고, 휴식을 취하면 통증이 완화되는 가장 흔한 형태의 협심증입니다. 2) 불안정형 협심증 : 안정 시에도 갑자기 발생하거나, 점점 빈도와 강도가 증가하는 협심증으로, 심근경색으로 이어질 가능성이 높아 즉각적인 치료가 필요합니다. 3) 변이형 협심증(프린쯔메탈 이형협심증) : 관상동맥 경련으로 인해 혈관이 좁아져 발생하는 협심증으로, 주로 밤에 안정시에 발생합니다.2 치료방법협심증의 치료목표는 심장으로 가는 혈류를 개선하고, 협심증 발작을 예방하며, 심근경색 등 심각한 합병증..

신체건강 2024.09.11

편도가 없다면? 편도의 기능과 역할

1. 편도의 역할편도는 입과 코 뒤쪽에 위치한 림프 조직으로, 우리 몸의 면역 체계에서 중요한 역할을 합니다. 마치 성의 문지기처럼 외부에서 침입하는 세균이나 바이러스를 가장 먼저 맞이해 우리 몸을 보호하는 역할을 수행합니다. 1) 면역 기능 : 편도에는 림프구라는 면역 세포가 풍부하게 존재해 외부에서 침입하는 병원체를 인식하고 항체를 생성하여 감염을 막습니다. 특히 어린 시절에는 편도가 면역 체계 발달에 중요한 역할을 합니다.2) 세균 및 바이러스 포획 : 편도는 울퉁불퉁한 표현을 가지고 있어 흡입하거나 삼킨 세균이나 바이러스를 포획하여 몸 안으로 들어가는 것을 막습니다.2. 편도가 없을 때 우리 인체에 미치는 영향편도를 제거하는 수술인 편도절세술은 만성 편도염이나 편도 비대 등으로 인해 호흡곤란, 수..

신체건강 2024.09.11

편도에 돌이 박힌다고? 편도결석 이해하기

편도결석은 편도선의 구멍에 음식물 찌꺼기나 세균 등이 쌓여 딱딱하게 굳어진 작은 돌처럼 생긴 것을 말합니다. 크기는 쌀알만큼 작은 것부터 콩알만큼 큰 것까지 다양하며, 하얀색이나 노란색을 띠는 경우가 많습니다. 편도결석은 단독으로 발생하기보다 만성 편도염을 앓고 있는 사람에게서 자주 나타납니다.1. 원인1) 만성 편도염 : 편도염을 자주 앓거나 만성 편도염을 앓고 있는 경우 편도에 염증이 생기고, 염증으로 인해 편도가 커지고 깊어져 음식물 찌꺼기가 쉽게 끼게 됩니다.2) 구강 위생 상태 : 구강 위생 관리가 잘 되지 않아 입안에 세균이 많아지면 편도에 염증이 생기고, 염증으로 인해 편도결석이 발생할 수 있습니다.3) 편도의 구조 : 편도의 구조적인 특징으로 인해 음식물 찌꺼기가 쉽게 끼고 딱딱하게 굳어질..

신체건강 2024.09.11

그레이브스병 : 이연걸, 서유리가 앓았던 갑상선 기능 항진증

그레이브스병은 갑상선 호르몬이 과도하게 분비되는 갑상선 기능 항진증의 가장 흔한 원인 질환입니다. 갑상선은 목 앞쪽에 위치한 나비 모양의 내분비 기관으로, 신체의 신진대사를 조절하는 갑상선 호르몬을 생산합니다. 그레이브스병은 자가면역 질환의 일종으로, 우리 몸의 면역 체계가 갑상선을 공격하여 갑상선 호르몬을 과잉 생산하게 만듭니다.1. 원인그레이브스병의 정확한 원인은 아직 밝혀지지 않았지만, 유전적 소인과 환경적인 소인이 복합적으로 작용하는 것으로 알려져 있습니다. 1) 자가면역 질환 : 우리 몸의 면역 체계가 자신의 조직을 공격하는 질환입니다. 그레이브스병은 갑상선을 공격하는 자가항체가 생성되어 갑상선을 자극하여 갑상선 호르몬을 분비를 과도하게 만듭니다. 2) 유전적 요인 : 가족력이 있는 경우 그레이..

신체건강 2024.09.11

섬유이형성증의 원인, 증상, 치료법

섬유이형성증은 정상적인 뼈와 골수가 섬유 조직으로 대체되어, 약한 뼈를 형성하고 확장하는 경향이 있는 질환입니다. 즉, 뼈가 정상적으로 성장하지 못하고 섬유성 조직으로 변하면서 뼈의 강도가 약해지고 변형이 발생하는 질환이라고 할 수 있습니다.1. 원인섬유이형성증의 정확한 원인은 아직 명확하게 밝혀지지 않았습니다. 하지만 유전적인 요인과 함께 특정 유전자 돌연변이가 관련되어 있을 가능성이 제기되고 있습니다. 또한 뼈를 형성하는 세포의 성장과 분화 과정에서 발생하는 이상이 원인일 수 있다는 연구결과도 있습니다. 2. 증상섬유이형성증의 증상은 질병의 정도와 침범한 뼈의 위치에 따라 다르게 나타날 수 있습니다. 흔히 나타나는 증상으로는 다음과 같은 것들이 있습니다. 1) 통증 : 뼈가 변형되면서 주변 조직을 압..

신체건강 2024.09.11

상염색체 우성 유전병의 종류와 특징

상염색체 우성 유전병은 부모 중 한 명에게서 비정상적인 유전자를 물려받으면 발병하는 유전 질환입니다. 즉, 염색체 상에 위치한 특정 유전자에 돌연변이가 발생하면, 그 유전자를 하나만 가지고 있어도 질병이 나타나는 것을 의미합니다. 1. 상염색체란?사람은 총 46개의 염색체를 가지고 있는데 이 중 44개가 상염색체입니다. 나머지 2개는 성별을 결정하는 성염색체입니다. 상염색체의 역할은 눈 색깔, 머리카락 색깔, 키 등 우리 몸의 다양한 특징을 결정하는 중요한 유전 정보가 담겨 있습니다. 2. 우성유전이란?우성 유전은 유전학에서 매우 중요한 개념입니다. 간단히 말해서 우성 유전이란 특정 형질을 결절하는 유전자 중에서 더 강한 영향력을 가진 유전자가 발현되는 현상을 말합니다. 유전자가 발현되어 겉으로 드러나는..

신체건강 2024.09.11

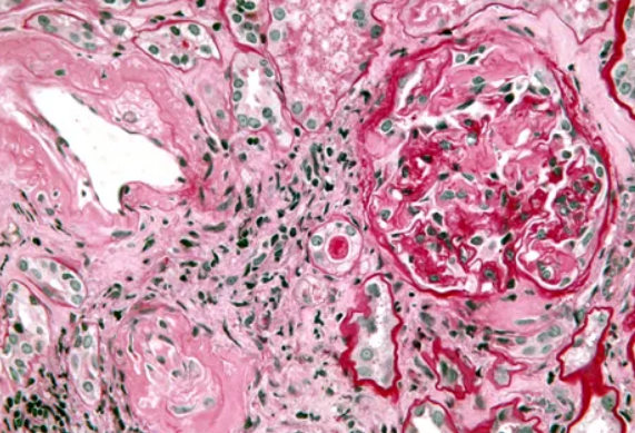
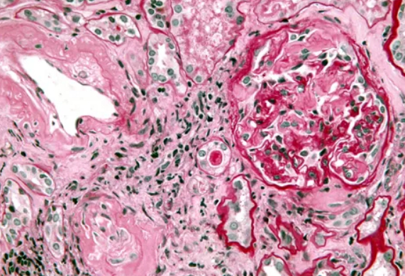
아밀로이드증이란 무엇일까요?

아밀로이드증은 우리 몸의 단백질이 비정상적으로 쌓여 각종 장기에 침착되어 기능을 떨어뜨리는 질환입니다. 마치 콩팥에 모래가 쌓여 기능이 떨어지는 것처럼 아밀로이드라는 단백질 침착물이 장기 곳곳에 쌓여 문제를 유발합니다. 이런 단백질 침착은 다양한 장기에 발생할 수 있기 때문에 그에 따른증상도 다르게 나타납니다.  1. 아밀로이드증의 원인은 무엇일까요?아밀로이드증의 정확한 원인은 아지 밝혀지지 않았지만, 유전적인 요인과 후천적인 요인이 복합적으로 작용하는 것으로 알려져 있습니다. 1) 유전적 요인 : 가족력이 있는 경우 아밀로이드증이 발생할 가능성이 높아집니다.2) 후천적 요인 : 만성 염증 질환, 골수종, 류마티스 관절염 등 만성 질환을 오랫동안 앓고 있거나, 노화 등이 원인이 될 수 있습니다. 2. 아..

신체건강 2024.09.11
반응형