목차
1. 급성 경막하 출혈 원인
2. 증상
3. 진단방법
4. 치료방법
5. 예방방법

급성 경막하 출혈(Acute subarachnoid hemorrhage, SAH)은 뇌와 척수를 둘러싸고 있는 경막 밑 공간에 출혈이 발생하는 질환입니다. 급성 경막하 출혈은 뇌졸중의 한 종류로, 뇌졸중 중에서도 가장 치명적인 질환 중 하나이므로 주의가 필요합니다.
급성 경막하 출혈의 유병률은 연간 인구 10만 명당 약 20~30명 정도 입니다. 연령대는 주로 50~60대에서 발생하지만, 모든 연령대에서 발생 가능합니다.
1. 급성 경막하 출혈 원인
급성 경막하 출혈의 가장 흔한 원인으로는 뇌동맥류 파열입니다. 뇌동맥류는 뇌혈관의 일부가 약해져서 주머니처럼 부풀어 오른 상태를 말합니다. 뇌동맥류가 파열되면 뇌와 척수를 둘러싸고 있는 경막 밑 공간에 출혈이 발생하게 됩니다.
급성 경막하 출혈의 다른 원인으로는 다음과 같은 요인이 작용합니다.
◇ 뇌출혈
◇ 뇌 수술 후 출혈
◇ 뇌종양
◇ 혈액응고 장애
◇ 약물 부작용
오메가 써큐텐 60정, 1개
COUPANG
www.coupang.com
"이 포스팅은 쿠팡 파트너스 활동의 일환으로, 이에 따른 일정액의 수수료를 제공받습니다."
급성 경막하 출혈을 유발하는 약물은 아래와 같습니다.
◇ 혈액 응고를 방해하는 약물 : 항응고제(와파린 아스피린, 클로피도그렐), 혈전용해제(t-PA, r-TPA)
◇ 혈압을 상승시키는 약물 : 코카인, 암페타민
◇ 뇌동맥류를 확장시키는 약물 : 에스트로겐 함유 약물
◇ 뇌출혈을 유발하는 약물 : 고용량 비타민 A, 고용량 비타민 E
2. 증상
급성 경막하 출혈의 가장 흔한 증상은 갑작스럽고 극심한 두통입니다. 두통은 뒷머리나 목 뒤쪽에서 시작해서 앞머리까지 퍼질 수 있습니다. 두통과 함께 구토, 의식 저하, 경련 등의 증상이 동반될 수 있습니다.

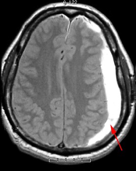
3. 진단방법
뇌 자기공명영상(MRI)는 뇌의 구조와 기능을 3차원적으로 보여주고, 뇌 컴퓨터단층촬영(CT)는 뇌의 구조를 2차원적으로 보여줍니다. 급성 경막하 출혈에서는 CT와 MRI 검사를 해서 뇌 출혈의 정도와 부위를 파악하게 됩니다. 혈액 검사를 통해 혈액응고 장애가 있는지 유부를 판단합니다.
백세존 백세혈당혈압케어 의사 김도영교수 성분배합 90정, 2개
COUPANG
www.coupang.com
"이 포스팅은 쿠팡 파트너스 활동의 일환으로, 이에 따른 일정액의 수수료를 제공받습니다."
4. 치료방법
급성 경막하 출혈의 치료는 출혈의 원인과 정도에 따라 달라집니다. 뇌동맥류 파열이 원인인 경우, 뇌동맥류를 치료하기 위한 수술이 필요합니다. 뇌출혈이 심한 경우, 수술을 통해 혈액을 제거하게 되고, 두개골을 열러 뇌를 압박하는 혈액을 배출하는 치료가 필요할 수 있습니다.

1) 뇌동맥류 결찰술
뇌동맥류 결찰술은 뇌동맥류를 묶어 출혈을 막는 수술입니다. 뇌동맥류가 위치한 혈관에 접근하기 위해 두개골을 열고, 뇌동맥류를 묶어 출혈을 막는 방법입니다. 뇌동맥류 결찰술은 급성 경막하 출혈의 가장 효과적인 치료 방법 중 하나입니다.
2) 뇌동맥류 코일 색전술
뇌동맥류 코일 색전술은 뇌동맥류에 코일을 삽입해 출혈을 막는 수술입니다. 혈관 카테터를 통해 뇌동맥류에 코일을 삽입하여, 코일로 뇌동맥류를 막습니다. 뇌동맥류 코일 색전술은 뇌동맥류 결찰술에 비해 수술 시간이 짧고, 회복이 빠른 장점이 있습니다.
바른뉴트리 진센큐 은행잎추출물 나토키나제 토코페롤 영양제 혈행 기억력 개선에 도움 60정, 2
COUPANG
www.coupang.com
"이 포스팅은 쿠팡 파트너스 활동의 일환으로, 이에 따른 일정액의 수수료를 제공받습니다."
3) 뇌출혈 제거술
뇌출혈이 심한 경우, 수술을 통해 혈액을 제거합니다. 뇌출혈 제거술은 두개골을 열고 들어가서, 뇌를 압박하고 있는 혈액을 제거하는 수술입니다. 이는 환자의 상태에 따라 수술의 범위와 방법이 달라질 수 있습니다.
4) 약물치료
급성 경막하 출혈의 증상을 완화하기 위해 약물 치료를 실시합니다. 두통, 구토, 경련 등의 증상을 완화하기 위한 약물이 주로 사용됩니다. 또한 혈압, 혈당, 혈액 응고를 조절하기 위한 약물도 사용될 수 있습니다.
5) 지지치료
호흡곤란, 의식 저하 등의 증상을 치료하기 위한 치료가 필요할 수 있고, 감염을 예방하기 위한 치료도 시행될 수 있습니다.

5. 예방방법
1) 금연 : 흡연은 뇌동맥류를 발생시킬 위험성이 높습니다.
2) 고혈압, 당뇨병, 고지혈증 등의 만성 질환을 잘 관리합니다.
3) 규칙적인 운동을 합니다.
4) 건강한 식단을 유지합니다.
급성 경막하 출혈은 치료가 매우 어렵고, 사망뮬리 높은 질환입니다. 따라서, 갑작스러운 심한 두통이나 다른 증상이 나타나는 경우 지체없이 병원을 방문하여 검사를 받는 것이 매우 중요합니다.
'신체건강' 카테고리의 다른 글
| 급성대장염 원인, 증상, 진단, 치료방법 (0) | 2023.09.27 |
|---|---|
| 급성골수성백혈병: 원인, 증상, 진단방법과 치료방법 (0) | 2023.09.27 |
| 궤양성 대장염 원인, 증상, 치료방법, 합병증 (0) | 2023.09.26 |
| 구내염 : 원인, 증상, 치료, 연고 추천 (1) | 2023.09.26 |
| 과민성대장증후군, 원인, 증상, 치료, 유산균 (1) | 2023.09.26 |