반응형

신체건강 598

파상풍 , DPT 백신 접종이 최선의 치료입니다!

파상풍은 땅 속 세균인 파상풍균에 감염되어 발생하는 질환입니다. 파상풍균은 토양, 분변, 동물의 배설물 등에 존재하며, 상처를 통해 체내로 들어갑니다. 파상풍은 근육을 경련을 유발하는 신경독을 분비해, 경련성 마비를 유발합니다. 파상풍은 치료가 어려운 질환이지만, 예방접종을 통해 충분히 예방할 수 있습니다. 1. 파상풍 원인 파상풍은 파상풍균에 의해 감염되며, 오래된 상처, 더러운 상처, 깊은 상처, 찢어진 상처, 쇠붙이, 나무, 못, 철사 등에 찔렸을 때 파상풍균이 침입하게 됩니다. 2. 증상 - 파상풍의 증상은 감염 후 1~2주 정도 후에 나타납니다. - 초기증상은 두통, 근육통, 발열 등이 있습니다. - 이후 근육경련이 시작되며 얼굴, 목, 복부, 흉부, 다리 근육 순으로 경련이 발생하게 됩니다. ..

신체건강 2023.11.15

원인이 명확하지 않은 기질화 폐렴; 증상과 치료

기질화 폐렴은 섬유 모세포 혹은 근섬유 세포를 포함한 육아조직이 폐포(허파꽈리)와 세기관지 내에 증식하는 폐질환을 말합니다. 기질화 폐렴은 원인에 따라 특발성 기질화 폐렴과 이차성 기질화 폐렴으로 나눌 수 있습니다. 특발성 기질화 폐렴은 원인이 밝혀지지 않은 것이고, 이차성 기질화 폐렴은 다른 질환에 의해 발생한 기질화 폐렴입니다. 남녀가 모두 같은 비율로 발생하고, 평균 연령은 50~60세에서 흔하며, 흡연과는 무관하게 발병합니다. 1. 기질화 폐렴 원인 특발성 기질화 폐렴의 원인은 아직 밝혀지지 않았지만 면역체계의 이상이 관련되어 있을 것으로 추측됩니다. 이차성 기질화 폐렴의 원인으로는 다음과 같은 것들이 있습니다. - 자가면역질환 : 루푸스, 류마티스관절염, 쇼그렌증후군 등 - 감염성 질환 : 결핵..

신체건강 2023.11.14

트리코모나스 질염, 배우자와 함께 치료 받아야 한다고?

트리코모나스 질염은 트리코모나스 원충에 의해 발생하는 질염입니다. 트리코모나스 원충은 단세포 생물로, 성접촉으로 인해 사람의 질, 방광, 요도, 항문, 남성의 요도 등에 감염될 수 있습니다. 트리코모나스는 질 내의 정상적인 산성 환경을 변화시켜 다른 종류의 질염이 동반되는 경우가 많습니다. 1. 트리코모나스 질염의 원인 트리코모나스 질염은 기생충인 트리모코나스 원충에 의한 질 내 감염증입니다. 전염성이 매우 높아 남성이 트리모코나스에 감염된 여성과 한 번만 성접촉을 해도 70% 가 감염되는 것으로 알려져 있습니다. 간혹 수영장, 사우나에서 젖은 수건을 통해 감염되는 경우가 있지만 일반적으로 성적접촉에 의해서 전파되기 때문에 반드시 배우자와 함께 치료를 받아야 합니다. 2. 증상 - 질 분비물 증가 - 질..

신체건강 2023.11.13

턱관절 장애; 턱관절 부위에 통증과 소리가 난다면?

턱관절 장애는 턱관절의 구조나 기능에 이상이 생겨 발생하는 질환입니다. 턱관절은 아래턱뼈와 위턱뼈가 만나는 곳으로, 음식을 씹거나 말을 할 때 중요한 역할을 합니다. 턱관절 장애는 일상생활에 큰 불편감을 줄 수 있습니다. 1. 턱관절 장애 원인 1) 구조적 이상 : 아래턱뼈의 위치가 비정상적이거나, 위턱뼈나 아래턱뼈의 모양이 비정상적인 경우 턱관절 장애가 발생할 수 있습니다. 2) 근육 이상 : 턱관절을 둘러싸고 있는 근육이 긴장하거나, 약해지면 턱관절 장애가 발생할 수 있습니다. 3) 잘못된 습관 : 이갈이, 이를 악물기, 턱을 괴는 습관으로 발생할 수 있습니다. 4) 외상 : 교통사고, 넘어짐 등의 외상으로 턱관절이 손상되면 턱관절 장애가 발생할 수 있습니다. 5) 퇴행성 변화 : 나이가 들면서 턱관..

신체건강 2023.11.12

집먼지 진드기 알레르기; 일상생활의 불편을 유발하는 알레르기

집먼지 진드기 알레르기는 집먼지 진드기에 의해서 발생하는 알레르기 반응입니다. 집먼지 진드기는 습하고 온도가 높은 곳에서 서식하는 작은 벌레로, 사람의 피부 각질을 먹고 삽니다. 집먼지 진드기 알레르기는 전 세계적으로 가장 흔한 알레르기 질환 중 하나입니다. 1. 집먼지 진드기 알레르기 원인 집먼지 진드기 알레르기는 유전적 요인과 환경적 요인에 의해 발생합니다. 유전적 요인은 알레르기 반응에 대한 민감성을 결정하는 데 중요한 역할을 담당합니다. 환경적 요인으로는 집먼지 진드기의 노출 정도, 흡연, 스트레스 등이 있습니다. 집먼지 진드기는 침구, 카펫, 쿠션 등 집안 곳곳에 서식합니다. 따라서, 집먼지 진드기와 접촉을 피하기 위해서는 집안을 청결하게 유지하는 것이 중요합니다. 2. 증상 호흡기 증상 피부 ..

신체건강 2023.11.12

알레르기 반응은 어떤 과정을 통해 발생할까?

알레르기 반응은 외부에서 들어온 항원에 의해 과도한 면역 반응이 일어나는 것입니다. 알레르기 반응은 우리 몸을 보호하기 위한 면역 시스템의 한 부분이지만, 때로는 심각한 문제를 일으킬 수도 있습니다. 1. 알레르기 발생 기전 1) 항원과의 첫 번째 접촉 알레르기 반응이 처음 발생하는 경우, 항원을 처음 접촉하게 됩니다. 이때 우리 몸의 면역 세포인 비만세포가 항원을 인식하고, IgE 항체를 생성합니다. IgE 항체는 비만세포의 표면에 결합하게 됩니다. 2) 항원의 재접촉 항원을 한 번 이상 접촉한 후, 다시 항원에 노출되면, 비만세포의 표면에 결합된 IgE 항체가 항원을 인식합니다. 이때 비만세포는 히스타민, 류코트리엔, 프로스타글란딘 등의 알레르기 매개 물질을 분비합니다. 3) 알레르기 증상의 발생 알..

신체건강 2023.11.12

백혈구; 과립구, 무과립구 종류에 따른 역할

백혈구는 혈액에 존재하는 세포로, 우리 몸의 방어막 역할을 합니다. 백혈구는 외부에서 침입한 세균, 바이러스, 기생충 등을 공격하고 제거하여 우리 몸을 감염으로부터 보호하게 됩니다. 백혈구는 크기가 작고, 핵이 있는 것이 특징이며, 혈액 내에서 혈관 벽을 통해 조직으로 빠져나와 감염 부위로 이동해서 감염원을 공격하게 됩니다. 1. 백혈구의 특징 - 백혈구 내에 핵이 있습니다. - 세포 독성 물질을 분비합니다. - 세균, 바이러스, 기생충 등을 공격합니다. - 혈관벽을 빠져나와 조직으로 이동할 수 있습니다. 2. 백혈구 종류에 따른 역할 백혈구는 크기 두 분류로 나뉘는데, 백혈구 세포 내에 과립이 있는 과립구와 과립이 들어 있지 않은 무과립구가 있습니다. 1) 과립구 (1) 호중구 : 가장 많은 비율을 차..

신체건강 2023.11.11

복합부위통증증후군(CRPS), 옷깃만 스쳐도 아프다면

복합부취통증증후군은 신체의 한 부분에 극심한 통증이 지속되는 만성질환입니다. 통증은 외상이나 수술 후 발생할 수 있고, 손상 정도보다 훨씬 심하고, 치료가 어려운 경우가 많습니다. 복합부위통증증후군은 일상생활에 큰 지장을 줄 수 있는 질환이므로, 조기에 진단하고 치료하는 것이 중요합니다. 1. 복합부위통증증후군 원인 복합부위통증증후군의 정확한 원인은 아직 모릅니다. 다만 외상이나 수술 후 발생하는 경우, 외상이나 수술로 인해 말초 신경이 손상되면서 신경전달물질의 불균형을 초래하여 통증이 발생하는 것으로 추측합니다. 그리고 유전적인 요인, 스트레스, 면역체계 이상 등이 복합부위통증증후군의 발병에 영향을 준다고 합니다. 2. 증상 1) 극심한 통증 외상이나 수술 부위에 지속적인 통증이 나타나며, 통증은 가만..

신체건강 2023.11.08

탄저병, 치사율 90%의 무서운 질병

탄저병은 탄저균에 감염되어 발생하는 질병입니다. 탄저균은 토양, 식물, 동물 등에 존재하는 세균으로, 동물로부터 사람에게 감염될 수 있습니다. 탄저병은 크게 피부 탄저병, 호흡기 탄저병, 장 탄저병으로 나눌 수 있습니다. 탄저균( Bacillus anthracis ) : 네이버 블로그 (naver.com) 탄저균이란? : 네이버 블로그 (naver.com) 1. 탄저병의 원인 탄저병의 원인은 탄저균입니다. 탄저균은 토양, 식물, 동물 등에 존재하는 세균이며, 동물로부터 사람에게 감염될 수 있습니다. 탄저균은 피부, 호흡기, 장을 통해 감염될 수 있습니다. 2. 증상 경로 피부 탄저병 호흡기 탄저병 장 탄저병 증상 발열 오한 피부 발진 물집 궤양 발열 오한 기침 호흡곤란 발열 오한 복통 설사 구토 3. 진..

신체건강 2023.11.06

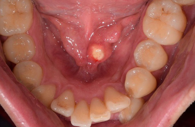
타석증(sialolithiasis), 침샘에 생기는 돌

타석증은 침샘에 돌이 생기는 질환입니다. 침샘은 입안을 촉촉하게 유지하고, 음식을 소화하는 데 필요한 침을 분비하는 기관입니다. 타석증은 침샘의 어느 부위에나 돌이 생길 수 있지만, 가장 흔하게 이하선에서 가장 잘 발생합니다. 출처 : 밥먹을 때 침샘이 부어올라요 :: 침이 배출되.. : 네이버블로그 (naver.com) 출처 : 침샘염에 좋은 음식 원인 종류 치료 타액선염 .. : 네이버블로그 (naver.com) 1. 타석증 원인 1) 침샘의 점도 증가 : 침이 끈적끈적해지면 돌이 생기기 쉽습니다. 2) 침샘의 배출 감소 : 침샘의 배출이 감소하면 침이 뭉쳐져 돌이 생기기 쉽습니다. 3) 침샘관의 염증과 칼슘염 침착 : 침샘관의 염증과 칼슘염 침착으로 인해 돌이 생길 수 있습니다. 2. 증상 1) 침..

신체건강 2023.11.06
반응형