반응형

전체 글 931

탄저병, 치사율 90%의 무서운 질병

탄저병은 탄저균에 감염되어 발생하는 질병입니다. 탄저균은 토양, 식물, 동물 등에 존재하는 세균으로, 동물로부터 사람에게 감염될 수 있습니다. 탄저병은 크게 피부 탄저병, 호흡기 탄저병, 장 탄저병으로 나눌 수 있습니다. 탄저균( Bacillus anthracis ) : 네이버 블로그 (naver.com) 탄저균이란? : 네이버 블로그 (naver.com) 1. 탄저병의 원인 탄저병의 원인은 탄저균입니다. 탄저균은 토양, 식물, 동물 등에 존재하는 세균이며, 동물로부터 사람에게 감염될 수 있습니다. 탄저균은 피부, 호흡기, 장을 통해 감염될 수 있습니다. 2. 증상 경로 피부 탄저병 호흡기 탄저병 장 탄저병 증상 발열 오한 피부 발진 물집 궤양 발열 오한 기침 호흡곤란 발열 오한 복통 설사 구토 3. 진..

신체건강 2023.11.06

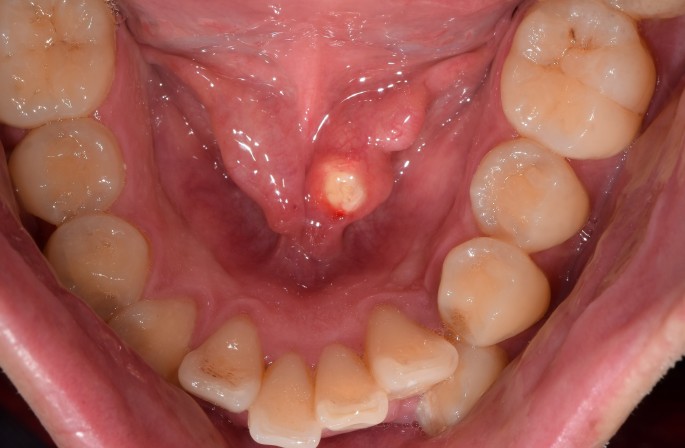
타석증(sialolithiasis), 침샘에 생기는 돌

타석증은 침샘에 돌이 생기는 질환입니다. 침샘은 입안을 촉촉하게 유지하고, 음식을 소화하는 데 필요한 침을 분비하는 기관입니다. 타석증은 침샘의 어느 부위에나 돌이 생길 수 있지만, 가장 흔하게 이하선에서 가장 잘 발생합니다. 출처 : 밥먹을 때 침샘이 부어올라요 :: 침이 배출되.. : 네이버블로그 (naver.com) 출처 : 침샘염에 좋은 음식 원인 종류 치료 타액선염 .. : 네이버블로그 (naver.com) 1. 타석증 원인 1) 침샘의 점도 증가 : 침이 끈적끈적해지면 돌이 생기기 쉽습니다. 2) 침샘의 배출 감소 : 침샘의 배출이 감소하면 침이 뭉쳐져 돌이 생기기 쉽습니다. 3) 침샘관의 염증과 칼슘염 침착 : 침샘관의 염증과 칼슘염 침착으로 인해 돌이 생길 수 있습니다. 2. 증상 1) 침..

신체건강 2023.11.06

크루존병, 유전자변이로 발생하는 희귀질환

크루존병은 두개골과 얼굴뼈의 성장에 이상이 생기는 유전 질환입니다. 크루존병 환자의 경우 두개골의 섬유성 연결 부위(머리뼈 봉합)가 너무 일찍 붙어서 두개골 조기 유착증이 발생하게 됩니다. 이로 인해 두개골이 좁아지고, 얼굴뼈가 돌출되거나, 비뚤어지는 증상이 나타납니다. 출처 : Crouzon's syndrome : 네이버 블로그 (naver.com) 출처 : 희귀병 '크루존증후군' 앓는 최우석군 (naver.com) 1. 크루존병 원인 크루존병은 유전자의 돌연변이로 인새 발생하는데, FGFR2 유전자는 두개골과 얼굴뼈의 성장에 관여하는 유전자입니다. 2. 증상 1) 두개골의 뼈가 비정상적으로 성장해 머리가 작아지고, 납작해집니다. 2) 얼굴뼈 돌출로 눈, 코, 입술이 돌출됩니다. 3) 얼굴뼈가 비뚤어져..

신체건강 2023.11.06

크로이츠펠트-야콥병, 조기치료 놓치면 6~12개월 이내 사망

크로이츠펠트-야콥병은 뇌에 구멍이 뚫려 뇌 기능을 잃게 되는 질환으로 변종 프리온에 의해 발생합니다. 프리온은 정상 단백질이 형태를 바꿔 질환을 일으키는 인자로, 광우병을 유발하는 인자도로 잘 알려져 있습니다. 1. 크로이츠펠트-야콥병 원인 1) 변종 프리온에 의한 감염 : 광우병에 걸린 소의 부산물을 섭취했거나, 변종 프리온이 포함된 의약품이나 수술 장비를 사용한 경우 발생할 수 있습니다. 2) 유전적 요인 : 가족성 크로이츠펠트-야콥병의 경우, 프리온 단백질의 유전자에 돌연변이가 발생해 발병하게 됩니다. 2. 증상 1) 인지 장애 : 기억력 저하, 판단력 저하, 언어 장애 2) 운동 장애 : 근육 경련, 보행 장애, 안구 운동 장애 3) 정신 장애 : 환각, 환청, 우울증, 불안 3. 진단검사 뇌척수..

신체건강 2023.11.06

크레틴병, 조기에 치료하지 않으면 치명적일 수 있어요

크레틴병은 갑상선 호르몬의 부족으로 인해 발생하는 병입니다. 갑상선 호르몬은 신체의 성장과 발달에 중요한 역할을 하는데, 만약 부족하게 된다면 신체의 성장이 지연되고, 지적 장애가 발생할 수 있습니다. 1. 크레틴병 원인 1) 선천성 갑상선 기능 저하증 : 태아기부터 갑상선이 제대로 형성되지 않았거나, 갑상선 호르몬을 만들어내는 데 장애가 발생한 경우입니다. 2) 후천성 갑상선 기능 저하증 : 갑상선에 손상이 발생했거나, 갑상선 호르몬의 생성을 억제하는 약물을 복용하는 경우입니다. 2. 증상 1) 신체의 성장 지연 2) 지적 장애 3) 언어 발달 지연 4) 청력 장애 5) 면역력 저하 6) 피부 건조 7) 탈모 8) 빈혈 9) 체중 증가 10) 부종 3. 진단 크레틴병은 혈액 검사를 통해 갑상선 호르몬의..

신체건강 2023.11.06

청소년 우울증, 마음이 약해서 생기는 병이 아닙니다

청소년 우울증은 청소년기에 발생하는 우울증을 말합니다. 일반적으로 일상생활에서 지장을 줄 정도로 우울한 기분, 슬픔, 무력감, 죄책감 등의 감정을 지속적으로 경험하게 됩니다. 청소년 우울증은 성인 우울증과 유사한 증상을 보이지만, 청소년기의 특성과 관련된 증상도 나타날 수 있습니다. 1. 청소년 우울증 원인 1) 유전적 요인 : 부모나, 형제자매 중 우울증을 앓은 경험이 있는 경우 위험성이 증가합니다. 2) 환경적 요인 : 학업 스트레스, 가정 불화, 친구 관계 어려움, 신체적 질환 등의 청소년 우울증의 발병에 영향을 미칩니다. 3) 심리적 요인 : 낮은 자존감, 자기 비하, 부정적인 사고방식 등이 청소년 우울증의 발생에 영향을 줍니다. 4) 생화학적 요인 : 신경전달물질 중 세로토닌과 노르에피네프린의 ..

정신건강 2023.11.06

케타민(Ketamine)의 역사와 최근 동향까지

케타민은 1960년대에 개발된 향정신성 약물로, 원래는 마취제로 사용되었습니다. 그러나 케타민은 환각, 해리, 의식 변화 등의 부작용이 커서, 마약으로 오용되기도 했습니다. 최근에는 케타민의 치료 효과에 대한 연구가 활발히 진행되고 있고, 우울증, PTSD, 통증 치료 등의 분야에서 사용하고 있습니다. 1. 케타민의 역사 케타민은 1962년 스위스에서 개발되었고, 1965년 미국에서 처음 마취제로 사용이 되었습니다. 케타민은 마취제의 효과가 매우 빠르고, 호흡과 순환 기능을 유지하는데 매우 효과적이었기 때문에 전쟁터에서 부상당한 군인을 치료하는 데 사용했습니다. 그러나, 케타민의 환각, 해리, 의식 변화 등의 부작용이 있어서 마약으로 오용되기도 했습니다. 2. 케타민의 작용기전 케타민은 NMDA 수용체를..

정신건강 2023.11.05

칸디다증, 인체 어디서나 증식 가능한 무서운 곰팡이균

칸디다증은 칸디다균에 의한 감염 질환입니다. 칸디다균은 정상적으로 사람의 피부, 점막에 존재하는 곰팡이이지만, 균형이 깨지면 감염을 유발할 수 있습니다. 칸디다증의 병원균은 칸디다 알비칸스, 칸디다 트로피칼리스, 칸디다 글라브라타 등이 있습니다. 출처 : 구강칸디다증 원인과 증상 : 네이버 블로그 (naver.com) 출처 : #손가락 사이 #칸디다 : 네이버 블로그 (naver.com) 1. 칸디다증 원인 1) 균의 과증식 정상적으로 존재하는 칸디다균이 과증식 해서 감염을 일으킵니다. 이는 면역력이 약해지거나, 항생제, 스테로이드제 등의 약물을 복용, 항암치료를 받는 암환자, 에이즈 환자 등에서 발생할 수 있습니다. 2) 새로운 감염 외부에서 칸디다균이 들어와 감염을 일으키는 것으로, 성관계를 통해 전..

신체건강 2023.11.05

칸디다 질염, 곰팡이균인 칸디다균에 의해 유발되는 질염

칸디다 질염은 질 내부에 곰팡이인 칸디다 알비칸스가 과증식 하여 발생하는 질염입니다. 칸디다 질염은 여성의 흔한 질병으로, 성관계 경험이 있는 여성의 약 70%가 일생에 한 번 이상 경험한다고 합니다. 출처 : 칸디다질염 한방질정으로 해결해요 : 네이버 블로그 (naver.com) 출처 : 칸디다 질염_원인, 증상, 치료, 예방 : 네이버 블로그 (naver.com) 1. 칸디다 질염 원인 칸디다 알비칸스라는 곰팡이가 칸디다 질염의 원인입니다. 칸디다 알비칸스는 정상적으로 질 내부에 존재하는 곰팡이지만, 당뇨병 환자, 면역 체계가 약해지거나 호르몬의 변화, 항생제 사용 등으로 인해 과증식 하면 칸디다 질염을 유발할 수 있습니다. 에스트로겐 함량이 높은 경구 피임약 사용, 임신, 에스트로겐 사용 등으로 인..

신체건강 2023.11.05

카포시 육종, 피부, 점막, 장기에 발생하는 악성 종양

카포시 육종은 피부, 점막, 장기 등에 발생하는 악성 종양입니다. 카포시 육종은 주로 피부에 발생하여 붉은색, 자주색, 갈색의 반점이나 결절로 나타납니다. 카포시 육종은 흔하지 않은 암이지만, 최근에는 에이즈 환자, 면역억제제 치료를 받는 환자, 에이즈와 관련 없는 카포시 육종 환자가 증가하고 있습니다. 출처 : 카포시육종의 일반암 보상 가능성 : 네이버 블로그 (naver.com) 출처 : 카포시 육종과 카포시 수두모양 발진, 원인, .. : 네이버블로그 (naver.com) 1. 카포시 육종의 원인 1) 바이러스 : HIV 감염 환자의 경우 면역체계가 약해져 카포시 육종이 발생할 수 있고, 인체 헤르페스 8형도 카포시 육종을 유발할 수 있습니다. 2) 면역 체계 이상 : 면역 억제제 치료는 암 치료,..

신체건강 2023.11.05
반응형