반응형

신체건강 598

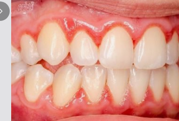
잇몸이 내려앉는 이유? 잇몸 퇴축의 모든 것

잇몸 퇴축은 치아 뿌리 부분을 덮고 있는 잇몸이 점점 아래로 내려앉는 현상을 말합니다. 단순히 미용적인 문제로만 생각하기 쉽지만, 치아 뿌리가 노출되면 시림, 잇몸 염증, 심지어는 치아 상실까지 이어질 수 있는 심각한 문제입니다.1. 잇몸 퇴축 원인1) 치주 질환 : 치은염, 치주염과 같은 잇몸 질환이 가장 흔한 원인입니다. 염증으로 인해 잇몸 뼈가 파괴되면서 잇몸이 내려앉게 됩니다.2) 잘못된 칫솔질 : 칫솔모가 너무 딱딱하거나 칫솔질을 너무 세게 하면 잇몸이 손상될 수 있습니다.3) 부정교합 : 위아래 턱의 맞물림이 정확하지 않으면 특정 부위에 과도한 힘이 가해져 잇몸이 퇴축될 수 있습니다.4) 이갈이, 이 악물기 : 이갈이, 이 악물기 습관은 잇몸에 과도한 스트레스를 주어 잇몸 퇴축을 유발할 수 있..

신체건강 2024.09.15

치주염, 치은염을 넘어선 심각한 치과 문제

치은염이 악화되어 잇몸 뼈까지 파괴되는 질환을 치주염이라고 합니다. 초기에는 별다른 증상이 없어 간과하기 쉽지만, 방치하면 치아를 잃는 등 심각한 결과를 초래할 수 있습니다. 치주염은 단순히 잇몸 질환을 넘어 심혈관 질환, 당뇨병 등 전신 건강에도 영향을 미칠 수 있기 때문에 조기 진단과 치료가 매우 중요합니다.1. 치주염 원인치주염의 가장 큰 원인은 치태와 치석입니다. 치아에 붙어 있는 플라크(치태)가 굳어져 치석이 되면 세균이 번식하기 좋은 환경이 조성되고, 이로 인해 잇몸에 염증이 생기고 뼈까지 파괴합니다.1) 플라크 : 치아에 달라붙는 무색 투명한 끈끈한 막으로, 세균이 서식하는 곳입니다.2) 치석 : 플라크가 굳어져 형성된 단단한 물질로, 칫솔질로 제거되지 않습니다.3) 흡연 : 흡연은 혈액순환..

신체건강 2024.09.15

치은염, 잇몸병의 시작, 어떻게 관리해야 할까요?

치은염은 잇몸에 염증이 생기는 질환으로, 초기에는 별다른 증상이 없어 간과하기 쉽지만 방치하면 심각한 구강 질환으로 이어질 수 있습니다. 치아를 둘러싸고 있는 잇몸은 치아를 지지하는 중요한 역할을 하므로, 치은염을 조기에 발견하고 치료하는 것이 중요합니다.1. 치은염의 원인치은염의 가장 큰 원인은 구강 위생 관리 부족입니다. 칫솔질을 제대로 하지 않아 치아에 플라크와 치석이 쌓이면 세균이 번식하기 좋은 환경이 조성되고, 이로 인해 잇몸에 염증이 발생합니다.1) 블라크 : 치아에 달라붙는 무색 투명한 끈끈한 막으로, 세균이 서식하는 곳입니다.2) 치석 : 플라크가 굳어져 형성된 단단한 물질로, 칫솔질로 제거되지 않습니다.3) 흡연 : 흡연은 혈액순환을 방해하여 잇몸 조직의 회복을 더디게 합니다.4) 약물 ..

신체건강 2024.09.15

방광염, 왜 걸릴까?

방광염은 방광에 세균이 감염되어 발생하는 염증 질환입니다. 특히 여성들에게 흔하게 나타나는 질환으로, 요로감염의 가장 흔한 형태 중 하나입니다. 방광염은 단순히 불편함을 넘어 신우신염과 같은 더 심각한 질환으로 이어질 수 있으므로, 조기발견과 치료가 중요합니다.1. 방광염의 원인방광염의 가장 흔한 원인은 대장균과 같은 세균 감염입니다. 이러한 세균은 요도를 통해 방광으로 이동해 염증을 유발합니다.1) 여성의 해부학적 특징 : 여성의 요도가 남성보다 짧고 항문과 가까워 세균 감염에 취약합니다.2) 성관계 : 성관계 시 세균이 요도를 통해 방광으로 이동할 수 있습니다.3) 면역력 저하 : 당뇨병, 면역억제제 복용 등으로 면역력이 저하된 경우 감염에 취약해집니다.4) 요도 협착 : 요도가 좁아져 소변이 원활하..

신체건강 2024.09.15

소변에 거품이 많이 나오는 이유는?

소변에 거품이 많이 나오면 건강에 이상이 있는 것은 아닌지 걱정이 되실 텐데요. 소변에 거품이 생기는 이유는 다양하며, 대부분은 심각한 문제는 아니지만, 때로는 신장 질환과 같은 심각한 질환을 나타내는 신호일 수 있습니다.1. 소변에 거품이 생기는 주된 이유는?1) 소변 줄기가 셀 때 : 소변을 볼 때 세게 누면 소변이 공기와 부딪히면서 거품이 생길 수 있습니다. 특히 남성의 경우 서서 소변을 볼 때 더욱 쉽게 거품이 발생할 수 있습니다.2) 요로감염 : 요로 감염 시 소변에 단백질 성분이 섞여 나오면서 거품이 발생할 수 있습니다.3) 발열 : 고열이 있을 때 신체 대사가 활발해지면서 단백질이 소변으로 배출되어 거품이 생길 수 있습니다.4) 격렬한 운동 후 : 운동 후에는 혈액 순환이 활발해지면서 단백질..

신체건강 2024.09.15

소변은 어떻게 만들어질까요?

우리 몸은 하루에도 엄청난 양의 노폐물을 만들어냅니다. 이러한 노폐물은 몸 밖으로 배출하는 것은 건강한 삶을 유지하는 데 필수적인 과정입니다. 오늘은 우리 몸속에서 소변이 만들어져 배설되는 놀라운 과정에 대해서 자세히 알아보도록 하겠습니다.1. 소변은 어떻게 만들어질까요?소변은 혈액을 정화하는 과정에서 만들어집니다. 혈액 속에는 우리 몸에 필요한 영양분과 함께 불필요한 노폐물이 함께 섞여 있습니다. 신장은 이러한 혈액을 걸러내 노폐물을 제거하고, 필요한 성분은 다시 혈액으로 되돌려 보내는 역할을 합니다.2. 소변 생성 과정은 어떻게 되나요?1) 여과  : 혈액이 신장의 사구체라는 작은 혈관 뭉치를 통과하면서 물, 포도당, 무기염류, 요소 등이 혈관 밖으로 걸러집니다. 이렇게 걸러진 액체를 원뇨라고 합니다..

신체건강 2024.09.15

열성 유전 질환의 특징과 질환 종류

열성 유전 질환은 특정 유전자의 변이가 두 개 모두 존재할 때 나타나는 유전 질환입니다. 즉, 부모 양쪽으로부터 각각 하나씩 변이 된 유전자를 물려받아야 발병합니다. 만약 한 개의 변이 유전자만 가지고 있다면, 질병은 발현되지 않고, 이러한 사람을 보인자라고 합니다.1. 열성 유전 질환의 특징1) 발병 조건 : 부모 양쪽으로부터 변이 유전자를 물려받아야 발병합니다.2) 보인자 : 변이 유전자를 하나만 가지고 있는 사람은 질병이 발현되지 않지만, 자녀에게 변이 유전자를 전달할 수 있습니다.3) 다양한 질환 : 낭포성 섬유증, 겸상 적혈구 빈혈, 테이-삭스병 등 다양한 질환이 열성 유전 질환에 속합니다.4) 가계력 : 가족력이 있는 경우 질병 발병 가능성이 높습니다.2. 원인1) 유전자 돌연변이 : 유전자의..

신체건강 2024.09.14

호지킨 림프종: 림프절의 이상 신호를 알아보세요

호지킨 림프종은 림프계의 악성 종양으로, 림프절에서 시작해 주변 림프절로 퍼져나가는 질환입니다. 림프계는 우리 몸의 면역 체계를 담당하는 중요한 기관으로, 호지킨 림프종은 이러한 림프계의 기능을 저하시켜 다양한 증상을유발할 수 있습니다. 비호지킨 림프종에 비해 상대적으로 예후가 좋고 치료 효과가 좋은 편이지만, 조기 발견과 치료가 중요합니다.1. 호지킨 림프종 원인호지킨 림프종의 정확한 원인은 아직 밝혀지지 않았습니다. 다만, 유전적 요인과 환경적 요인, 에프스타인-바 바이러스(EBV) 감염 등이 복합적으로 작용해 발생하는 것으로 추정됩니다. 2. 증상호지킨 림프종의 가장 흔한 증상은 림프절의 비대입니다. 특히 목, 겨드랑이, 사타구니 부위의 림프절이 만져질 정도로 커지는 경우가 많습니다. 이 외에도 다..

신체건강 2024.09.12

지주막하출혈: 갑작스러운 두통의 위험 신호

지주막하출혈은 뇌를 둘러싸고 있는 얇은 막인 지주막과 뇌 사이의 공간에 혈액이 새어 나오는 질환입니다. 마치 터진 수도꼭지처럼 뇌 안에 혈액이 새어 나오면서 뇌를 압박하고, 심각한 후유증을 남길 수 있는 무서운 질환입니다.1. 지주막하출혈 원인지주막하출혈의 가장 흔한 원인은 뇌동맥류 파열입니다. 뇌동맥류는 뇌혈관이 풍선처럼 부풀어 오른 상태를 말하며, 이것이 터지면서 지주막하출혈이 발생합니다. 1) 뇌동맥류 : 뇌혈관 벽이 약해져 부풀어 오른 상태입니다.2) 동정맥 기형 : 뇌혈관이 비정상적으로 연결되어 혈류가 빠르게 흐르면서 혈관이 터질 수 있습니다.3) 고혈압 : 고혈압은 혈관에 부담을 주어 동맥류를 발생시키거나 파열을 촉진합니다.4) 외상 : 머리에 강한 충격을 받으면 혈관이 손상되어 지주막하출혈이..

신체건강 2024.09.12

박시연이 앓았던 대퇴골두 무혈성 괴사란?

대퇴골두 무혈성 괴사는 허벅지 뼈의 머리 부분인 대퇴골두로 가는 혈액 공급이 차단되어 뼈 조직이 죽어가는 질환입니다. 마치 나무에 물이 공급되지 않아 말라죽는 것처럼, 대퇴골두는 혈액을 통해 영양분을 공급받지 못해 괴사하게 되고, 이는 결국 고관절의 기능 상실로 이어질 수 있습니다.1. 원인대퇴골두 무혈성 괴사의 정확한 원인은 아직 명확하게 밝혀지지 않았지만, 다양한 요인이 복합적으로 작용하는 것으로 알려져 있습니다. 1) 혈액순환장애 : 고혈압, 당뇨병, 고지혈증, 혈액응고질환 등 혈액 순환과 관련된 질환이 대표적인 원인입니다.2) 외상 : 골절, 탈구 등 외상은 혈관을 손상시켜 혈액 공급을 차단할 수 있습니다.3) 스테로이드 약물 : 장기간 스테로이드 약물을 복용하는 경우 혈액 순환을 저해하여 괴사를..

신체건강 2024.09.12
반응형