반응형

2023/11/06 7

청소년 우울증 자가진단 CES-D, 내가 우울증 인가요?

청소년 우울증이 해를 거듭할수록 우리나라에서 증가하고 있는 추세입니다. 청소년들은 학업 스트레스, 불우한 가정환경, 친구관계 등 다양한 이유로 우울증을 겪고 있습니다. 청소년의 우울증은 성인의 우울증과 비슷하지만 다른 부분들도 있답니다. 따라서 오늘은 청소년 우울증 자가진단 테스트에 사용되는 CES-D 자가진단표를 소개할까 합니다. CES-D는 성인에게 적용할 수도 있지만 청소년 우울증에도 신뢰도가 검증된 평가도구입니다. 1. CES-D 자가진단 아래에 있는 항목들은 지난 일주일 동안 당신의 상태에 대한 질문입니다. 그와 같은 일들이 지난 일주일 동안 얼마나 자주 일어났는지 해당번호에 체크해서 점수를 합산하면 됩니다. 번호 지난 일주일동안 나는~ 극히 드물다 (1일 이하) 가끔 (1~2일) 종종 (3~4..

정신건강 2023.11.06

탄저병, 치사율 90%의 무서운 질병

탄저병은 탄저균에 감염되어 발생하는 질병입니다. 탄저균은 토양, 식물, 동물 등에 존재하는 세균으로, 동물로부터 사람에게 감염될 수 있습니다. 탄저병은 크게 피부 탄저병, 호흡기 탄저병, 장 탄저병으로 나눌 수 있습니다. 탄저균( Bacillus anthracis ) : 네이버 블로그 (naver.com) 탄저균이란? : 네이버 블로그 (naver.com) 1. 탄저병의 원인 탄저병의 원인은 탄저균입니다. 탄저균은 토양, 식물, 동물 등에 존재하는 세균이며, 동물로부터 사람에게 감염될 수 있습니다. 탄저균은 피부, 호흡기, 장을 통해 감염될 수 있습니다. 2. 증상 경로 피부 탄저병 호흡기 탄저병 장 탄저병 증상 발열 오한 피부 발진 물집 궤양 발열 오한 기침 호흡곤란 발열 오한 복통 설사 구토 3. 진..

신체건강 2023.11.06

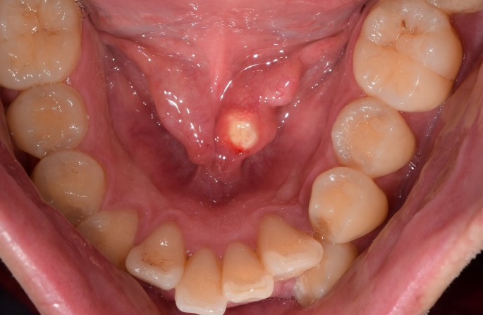
타석증(sialolithiasis), 침샘에 생기는 돌

타석증은 침샘에 돌이 생기는 질환입니다. 침샘은 입안을 촉촉하게 유지하고, 음식을 소화하는 데 필요한 침을 분비하는 기관입니다. 타석증은 침샘의 어느 부위에나 돌이 생길 수 있지만, 가장 흔하게 이하선에서 가장 잘 발생합니다. 출처 : 밥먹을 때 침샘이 부어올라요 :: 침이 배출되.. : 네이버블로그 (naver.com) 출처 : 침샘염에 좋은 음식 원인 종류 치료 타액선염 .. : 네이버블로그 (naver.com) 1. 타석증 원인 1) 침샘의 점도 증가 : 침이 끈적끈적해지면 돌이 생기기 쉽습니다. 2) 침샘의 배출 감소 : 침샘의 배출이 감소하면 침이 뭉쳐져 돌이 생기기 쉽습니다. 3) 침샘관의 염증과 칼슘염 침착 : 침샘관의 염증과 칼슘염 침착으로 인해 돌이 생길 수 있습니다. 2. 증상 1) 침..

신체건강 2023.11.06

크루존병, 유전자변이로 발생하는 희귀질환

크루존병은 두개골과 얼굴뼈의 성장에 이상이 생기는 유전 질환입니다. 크루존병 환자의 경우 두개골의 섬유성 연결 부위(머리뼈 봉합)가 너무 일찍 붙어서 두개골 조기 유착증이 발생하게 됩니다. 이로 인해 두개골이 좁아지고, 얼굴뼈가 돌출되거나, 비뚤어지는 증상이 나타납니다. 출처 : Crouzon's syndrome : 네이버 블로그 (naver.com) 출처 : 희귀병 '크루존증후군' 앓는 최우석군 (naver.com) 1. 크루존병 원인 크루존병은 유전자의 돌연변이로 인새 발생하는데, FGFR2 유전자는 두개골과 얼굴뼈의 성장에 관여하는 유전자입니다. 2. 증상 1) 두개골의 뼈가 비정상적으로 성장해 머리가 작아지고, 납작해집니다. 2) 얼굴뼈 돌출로 눈, 코, 입술이 돌출됩니다. 3) 얼굴뼈가 비뚤어져..

신체건강 2023.11.06

크로이츠펠트-야콥병, 조기치료 놓치면 6~12개월 이내 사망

크로이츠펠트-야콥병은 뇌에 구멍이 뚫려 뇌 기능을 잃게 되는 질환으로 변종 프리온에 의해 발생합니다. 프리온은 정상 단백질이 형태를 바꿔 질환을 일으키는 인자로, 광우병을 유발하는 인자도로 잘 알려져 있습니다. 1. 크로이츠펠트-야콥병 원인 1) 변종 프리온에 의한 감염 : 광우병에 걸린 소의 부산물을 섭취했거나, 변종 프리온이 포함된 의약품이나 수술 장비를 사용한 경우 발생할 수 있습니다. 2) 유전적 요인 : 가족성 크로이츠펠트-야콥병의 경우, 프리온 단백질의 유전자에 돌연변이가 발생해 발병하게 됩니다. 2. 증상 1) 인지 장애 : 기억력 저하, 판단력 저하, 언어 장애 2) 운동 장애 : 근육 경련, 보행 장애, 안구 운동 장애 3) 정신 장애 : 환각, 환청, 우울증, 불안 3. 진단검사 뇌척수..

신체건강 2023.11.06

크레틴병, 조기에 치료하지 않으면 치명적일 수 있어요

크레틴병은 갑상선 호르몬의 부족으로 인해 발생하는 병입니다. 갑상선 호르몬은 신체의 성장과 발달에 중요한 역할을 하는데, 만약 부족하게 된다면 신체의 성장이 지연되고, 지적 장애가 발생할 수 있습니다. 1. 크레틴병 원인 1) 선천성 갑상선 기능 저하증 : 태아기부터 갑상선이 제대로 형성되지 않았거나, 갑상선 호르몬을 만들어내는 데 장애가 발생한 경우입니다. 2) 후천성 갑상선 기능 저하증 : 갑상선에 손상이 발생했거나, 갑상선 호르몬의 생성을 억제하는 약물을 복용하는 경우입니다. 2. 증상 1) 신체의 성장 지연 2) 지적 장애 3) 언어 발달 지연 4) 청력 장애 5) 면역력 저하 6) 피부 건조 7) 탈모 8) 빈혈 9) 체중 증가 10) 부종 3. 진단 크레틴병은 혈액 검사를 통해 갑상선 호르몬의..

신체건강 2023.11.06

청소년 우울증, 마음이 약해서 생기는 병이 아닙니다

청소년 우울증은 청소년기에 발생하는 우울증을 말합니다. 일반적으로 일상생활에서 지장을 줄 정도로 우울한 기분, 슬픔, 무력감, 죄책감 등의 감정을 지속적으로 경험하게 됩니다. 청소년 우울증은 성인 우울증과 유사한 증상을 보이지만, 청소년기의 특성과 관련된 증상도 나타날 수 있습니다. 1. 청소년 우울증 원인 1) 유전적 요인 : 부모나, 형제자매 중 우울증을 앓은 경험이 있는 경우 위험성이 증가합니다. 2) 환경적 요인 : 학업 스트레스, 가정 불화, 친구 관계 어려움, 신체적 질환 등의 청소년 우울증의 발병에 영향을 미칩니다. 3) 심리적 요인 : 낮은 자존감, 자기 비하, 부정적인 사고방식 등이 청소년 우울증의 발생에 영향을 줍니다. 4) 생화학적 요인 : 신경전달물질 중 세로토닌과 노르에피네프린의 ..

정신건강 2023.11.06
반응형